The SERPINA10 Antibody (CAB7106) is a high-quality antibody developed for reliable detection and analysis of target proteins. This antibody, produced through rabbit immunization, is highly specific to human samples and has been validated for use in Western blot applications. By targeting the SERPINA10 protein, this antibody allows for precise detection and analysis in various cell types, making it ideal for investigations in immunology and inflammatory-related research.SERPINA10, also known as alpha-1-antitrypsin, plays a crucial role in controlling protease activity and preventing tissue damage during inflammatory responses.
This antibody is validated for use in WB, IHC-P, ELISA applications and has demonstrated reactivity against Human, Mouse, Rat samples.
Product Name:
SERPINA10 Antibody
SKU:
CAB7106
Size:
20μL, 100μL
Reactivity:
Human, Mouse, Rat
Conjugate:
Unconjugated
Immunogen:
Recombinant protein (or fragment).This information is considered to be commercially sensitive.
Recommended starting concentration is 1 μg/mL. Please optimize the concentration based on your specific assay requirements.
Synonyms:
PZI, ZPI, SERPINA10
Positive Sample:
HepG2, Mouse liver, Rat liver
Cellular Localization:
Secreted.
Calculated MW:
51kDa
Observed MW:
51kDa
The protein encoded by this gene belongs to the serpin family. It is predominantly expressed in the liver and secreted in plasma. It inhibits the activity of coagulation factors Xa and XIa in the presence of protein Z, calcium and phospholipid. Mutations in this gene are associated with venous thrombosis. Alternatively spliced transcript variants have been found for this gene.
Purification Method
Affinity purification
Gene ID
51156
RRID
AB_2767661
Buffer Information
Store at -20℃. Avoid freeze / thaw cycles. Buffer: PBS containing 50% glycerol, preserved with proclin300 or sodium azide, pH 7.3.
Western blot analysis of various lysates using SERPINA10 Rabbit pAb (CAB7106) at 1:1000 dilution. Secondary antibody: HRP-conjugated Goat anti-Rabbit IgG (H+L) (CABS014) at 1:10000 dilution. Lysates/proteins: 25μg per lane. Blocking buffer: 3% nonfat dry milk in TBST. Detection: ECL Basic Kit (AbGn00020). Exposure time: 120s.
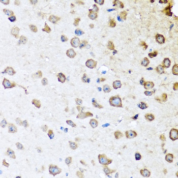
Immunohistochemistry analysis of paraffin-embedded Mouse brain using SERPINA10 Rabbit pAb (CAB7106) at dilution of 1:100 (40x lens). Microwave antigen retrieval performed with 0.01M PBS Buffer (pH 7.2) prior to IHC staining.
Immunohistochemistry analysis of paraffin-embedded Mouse brain using SERPINA10 Rabbit pAb (CAB7106) at dilution of 1:100 (40x lens). Microwave antigen retrieval performed with 0.01M PBS Buffer (pH 7.2) prior to IHC staining.