The SERPINB1 Antibody (CAB6257) is a high-quality antibody developed for reliable detection and analysis of target proteins. This antibody, generated in rabbits, is highly specific to human samples and has been validated for use in Western blot applications. By binding to the SerpinB1 protein, this antibody allows for precise detection and analysis in a variety of cell types, making it an essential reagent for studies in immunology, cancer research, and beyond.SerpinB1 is known for its ability to modulate proteolytic activity, playing a crucial role in processes such as blood coagulation, inflammation, and immune response regulation.
This antibody is validated for use in WB, IHC-P, IF/ICC, ELISA applications and has demonstrated reactivity against Human, Mouse, Rat samples.
Product Name:
SERPINB1 Antibody
SKU:
CAB6257
Size:
20μL, 100μL
Reactivity:
Human, Mouse, Rat
Conjugate:
Unconjugated
Immunogen:
Recombinant protein (or fragment).This information is considered to be commercially sensitive.
Recommended starting concentration is 1 μg/mL. Please optimize the concentration based on your specific assay requirements.
Synonyms:
EI, LEI, PI2, MNEI, PI-2, HEL57, M/NEI, ELANH2, HEL-S-27, SERPINB1
Positive Sample:
HeLa, A-549, K-562, Mouse lung, Rat lung, Rat spleen
Cellular Localization:
Cytoplasm, Cytoplasmic Granule.
Calculated MW:
43kDa
Observed MW:
45kDa
The protein encoded by this gene is a member of the serpin family of proteinase inhibitors. Members of this family maintain homeostasis by neutralizing overexpressed proteinase activity through their function as suicide substrates. This protein inhibits the neutrophil-derived proteinases neutrophil elastase, cathepsin G, and proteinase-3 and thus protects tissues from damage at inflammatory sites. Alternative splicing results in multiple transcript variants.
Purification Method
Affinity purification
Gene ID
1992
RRID
AB_2766864
Buffer Information
Store at -20℃. Avoid freeze / thaw cycles. Buffer: PBS containing 50% glycerol, preserved with proclin300 or sodium azide, pH 7.3.
Western blot analysis of various lysates using SERPINB1 Rabbit pAb (CAB6257) at 1:1000 dilution. Secondary antibody: HRP-conjugated Goat anti-Rabbit IgG (H+L) (CABS014) at 1:10000 dilution. Lysates/proteins: 25μg per lane. Blocking buffer: 3% nonfat dry milk in TBST. Detection: ECL Basic Kit (AbGn00020). Exposure time: 1s.
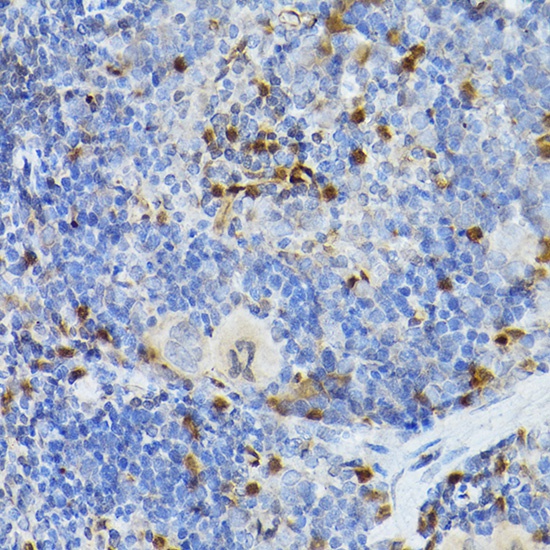
Immunohistochemistry analysis of paraffin-embedded Mouse spleen using SERPINB1 Rabbit pAb (CAB6257) at dilution of 1:100 (40x lens). High pressure antigen retrieval performed with 0.01M Citrate buffer (pH 6.0) prior to IHC staining.
Immunofluorescence analysis of HeLa cells using SERPINB1 Rabbit pAb (CAB6257) at dilution of 1:50 (40x lens). Secondary antibody: Cy3-conjugated Goat anti-Rabbit IgG (H+L) (CABS007) at 1:500 dilution. Blue: DAPI for nuclear staining.