The SET/TAF1 Monoclonal Antibody (CAB9173) is a high-quality antibody developed for reliable detection and analysis of target proteins. This antibody, raised in rabbits, offers exceptional reactivity with human samples and has been validated for Western blot applications. By specifically binding to the CD300A protein, researchers can easily detect and analyze this molecule in various cell types, making it an ideal tool for studies in immunology and cancer research.CD300A, also referred to as an immune inhibitory receptor, is a crucial player in immune homeostasis by modulating inflammation and inhibiting allergic reactions. Its pivotal role in immune response modulation positions it as a valuable target for investigations into diseases such as cancer, autoimmune disorders, and chronic inflammatory conditions.
This antibody is validated for use in WB, IHC-P, IF/ICC, IP, ELISA applications and has demonstrated reactivity against Human, Mouse, Rat samples.
Product Name:
SET/TAF1 Monoclonal Antibody
SKU:
CAB9173
Size:
20μL, 100μL
Reactivity:
Human, Mouse, Rat
Clone Number:
ARC1462
Conjugate:
Unconjugated
Immunogen:
Recombinant protein (or fragment).This information is considered to be commercially sensitive.
The protein encoded by this gene inhibits acetylation of nucleosomes, especially histone H4, by histone acetylases (HAT). This inhibition is most likely accomplished by masking histone lysines from being acetylated, and the consequence is to silence HAT-dependent transcription. The encoded protein is part of a complex localized to the endoplasmic reticulum but is found in the nucleus and inhibits apoptosis following attack by cytotoxic T lymphocytes. This protein can also enhance DNA replication of the adenovirus genome. Several transcript variants encoding different isoforms have been found for this gene.
Purification Method
Affinity purification
Gene ID
6418
RRID
AB_2863678
Buffer Information
Store at -20℃. Avoid freeze / thaw cycles. Buffer: PBS containing 50% glycerol and 0.05% BSA, preserved with proclin300 or sodium azide, pH 7.3.
Western blot analysis of various lysates using SET/TAF1 Rabbit mAb (CAB9173) at 1:1000 dilution. Secondary antibody: HRP-conjugated Goat anti-Rabbit IgG (H+L) (CABS014) at 1:10000 dilution. Lysates/proteins: 25μg per lane. Blocking buffer: 3% nonfat dry milk in TBST. Detection: ECL Basic Kit (AbGn00020). Exposure time: 10s.
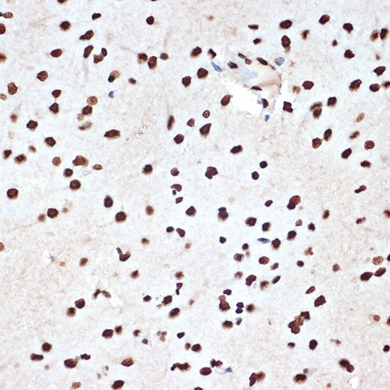
Immunohistochemistry analysis of paraffin-embedded Rat brain using SET/TAF1 Rabbit mAb (CAB9173) at dilution of 1:100 (40x lens). Microwave antigen retrieval performed with 0.01M Tris/EDTA Buffer (pH 9.0) prior to IHC staining.
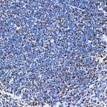
Immunohistochemistry analysis of paraffin-embedded Mouse spleen using SET/TAF1 Rabbit mAb (CAB9173) at dilution of 1:100 (40x lens). Microwave antigen retrieval performed with 0.01M Tris/EDTA Buffer (pH 9.0) prior to IHC staining.
Immunofluorescence analysis of U-2 OS cells using SET/TAF1 Rabbit mAb (CAB9173) at dilution of 1:100 (40x lens). Secondary antibody: Cy3-conjugated Goat anti-Rabbit IgG (H+L) (CABS007) at 1:500 dilution. Blue: DAPI for nuclear staining.