The CD172a/SIRPalpha Antibody (CAB9001) is a high-quality antibody developed for reliable detection and analysis of target proteins. This antibody, generated in rabbits, demonstrates high reactivity with human samples and has been validated for use in Western blot applications.SIRPA, also known as signal regulatory protein alpha, is involved in the regulation of immune responses and phagocytosis, making it a key player in immune system function. By targeting the SIRPA protein, researchers can visualize and analyze its expression in various cell types, providing valuable insights into its role in immunology and potentially in diseases such as cancer and autoimmune disorders.
This antibody is validated for use in WB, IF/ICC, ELISA applications and has demonstrated reactivity against Human, Mouse, Rat samples.
Product Name:
CD172a/SIRPalpha Antibody
SKU:
CAB9001
Size:
20μL, 100μL
Reactivity:
Human, Mouse, Rat
Conjugate:
Unconjugated
Immunogen:
Recombinant protein (or fragment).This information is considered to be commercially sensitive.
The protein encoded by this gene is a member of the signal-regulatory-protein (SIRP) family, and also belongs to the immunoglobulin superfamily. SIRP family members are receptor-type transmembrane glycoproteins known to be involved in the negative regulation of receptor tyrosine kinase-coupled signaling processes. This protein can be phosphorylated by tyrosine kinases. The phospho-tyrosine residues of this PTP have been shown to recruit SH2 domain containing tyrosine phosphatases (PTP), and serve as substrates of PTPs. This protein was found to participate in signal transduction mediated by various growth factor receptors. CD47 has been demonstrated to be a ligand for this receptor protein. This gene and its product share very high similarity with several other members of the SIRP family. These related genes are located in close proximity to each other on chromosome 20p13. Multiple alternatively spliced transcript variants have been determined for this gene.
Purification Method
Affinity purification
Gene ID
140885
RRID
AB_2772226
Buffer Information
Store at -20℃. Avoid freeze / thaw cycles. Buffer: PBS containing 50% glycerol, preserved with proclin300 or sodium azide, pH 7.3.
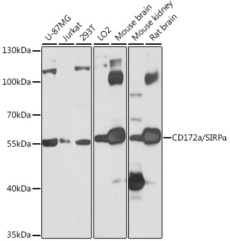
Western blot analysis of various lysates using CD172a/SIRPα Rabbit pAb (CAB9001) at 1:1000 dilution. Secondary antibody: HRP-conjugated Goat anti-Rabbit IgG (H+L) (CABS014) at 1:10000 dilution. Lysates/proteins: 25μg per lane. Blocking buffer: 3% nonfat dry milk in TBST. Detection: ECL Basic Kit (AbGn00020). Exposure time: 1s.
Immunofluorescence analysis of H9C2 cells using CD172a/SIRPα Rabbit pAb (CAB9001) at dilution of 1:100 (40x lens). Blue: DAPI for nuclear staining.
Immunofluorescence analysis of U2OS cells using CD172a/SIRPα Rabbit pAb (CAB9001) at dilution of 1:100 (40x lens). Blue: DAPI for nuclear staining.