The SIRT6 Antibody (CAB18468) is a high-quality antibody developed for reliable detection and analysis of target proteins. This antibody, raised in rabbits, is highly specific and sensitive for detection of SIRT6 in human samples, making it ideal for use in Western blot experiments.SIRT6 is known for its role in regulating DNA repair, glucose metabolism, and inflammation, making it a promising target for research in aging, cancer, and metabolic diseases. By using the SIRT6 Polyclonal Antibody, researchers can accurately measure SIRT6 levels in different cell types and tissues, providing valuable insights into its functions and potential therapeutic applications.
This antibody is validated for use in WB, IHC-P, ELISA applications and has demonstrated reactivity against Human, Mouse, Rat samples.
Product Name:
SIRT6 Antibody
SKU:
CAB18468
Size:
20μL, 100μL
Reactivity:
Human, Mouse, Rat
Immunogen:
Recombinant protein (or fragment).This information is considered to be commercially sensitive.
Recommended starting concentration is 1 μg/mL. Please optimize the concentration based on your specific assay requirements.
Synonyms:
SIR2L6, hSIRT6, SIRT6
Positive Sample:
Mouse brain, Rat brain
Cellular Localization:
Nucleus, Nucleoplasm.
Calculated MW:
36kDa/39kDa
Observed MW:
42kDa
This gene encodes a member of the sirtuin family of NAD-dependent enzymes that are implicated in cellular stress resistance, genomic stability, aging and energy homeostasis. The encoded protein is localized to the nucleus, exhibits ADP-ribosyl transferase and histone deacetylase activities, and plays a role in DNA repair, maintenance of telomeric chromatin, inflammation, lipid and glucose metabolism. Alternative splicing results in multiple transcript variants encoding different isoforms.
Purification Method
Affinity purification
Gene ID
51548
RRID
AB_2862235
Buffer Information
Store at -20℃. Avoid freeze / thaw cycles. Buffer: PBS containing 50% glycerol, preserved with proclin300 or sodium azide, pH 7.3.
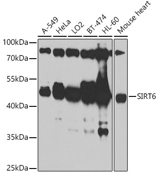
Western blot analysis of various lysates using SIRT6 Rabbit pAb (CAB18468) at 1:1000 dilution. Secondary antibody: HRP-conjugated Goat anti-Rabbit IgG (H+L) (CABS014) at 1:10000 dilution. Lysates/proteins: 25μg per lane. Blocking buffer: 3% nonfat dry milk in TBST. Detection: ECL Basic Kit (AbGn00020). Exposure time: 60s.
Western blot analysis of various lysates using SIRT6 Rabbit pAb (CAB18468) at 1:1000 dilution. Secondary antibody: HRP-conjugated Goat anti-Rabbit IgG (H+L) (CABS014) at 1:10000 dilution. Lysates/proteins: 25μg per lane. Blocking buffer: 3% nonfat dry milk in TBST. Detection: ECL Basic Kit (AbGn00020). Exposure time: 30s.