The SLC14A1 Antibody (CAB15991) is a high-quality antibody developed for reliable detection and analysis of target proteins. This antibody, produced by Assay Genie, is raised in rabbits and is highly reactive with human samples, making it an excellent choice for experiments involving SLC14A1.Validated for use in Western blot applications, the SLC14A1 Polyclonal Antibody specifically binds to the SLC14A1 protein, allowing for accurate detection and analysis in a variety of cell types.
This antibody is validated for use in WB, IHC-P, ELISA, IF-P applications and has demonstrated reactivity against Human, Mouse, Rat samples.
Product Name:
SLC14A1 Antibody
SKU:
CAB15991
Size:
20μL, 100μL
Reactivity:
Human, Mouse, Rat
Conjugate:
Unconjugated
Immunogen:
Synthetic peptide. This information is considered to be commercially sensitive.
The protein encoded by this gene is a membrane transporter that mediates urea transport in erythrocytes. This gene forms the basis for the Kidd blood group system.
Purification Method
Affinity purification
Gene ID
6563
RRID
AB_2763431
Buffer Information
Store at -20℃. Avoid freeze / thaw cycles. Buffer: PBS containing 50% glycerol, preserved with proclin300 or sodium azide, pH 7.3.
Western blot analysis of lysates from U-87 MG cells using SLC14A1 Rabbit pAb (CAB15991) at 1:1000 dilution incubated overnight at 4℃. Secondary antibody: HRP-conjugated Goat anti-Rabbit IgG (H+L) (CABS014) at 1:10000 dilution. Lysates/proteins: 25 μg per lane. Blocking buffer: 3% nonfat dry milk in TBST. Detection: ECL Basic Kit (AbGn00020). Exposure time: 60s.
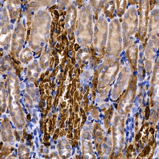
Immunohistochemistry analysis of paraffin-embedded Mouse kidney using SLC14A1 Rabbit pAb (CAB15991) at dilution of 1:200 (40x lens). High pressure antigen retrieval performed with 0.01M Citrate buffer (pH 6.0) prior to IHC staining.
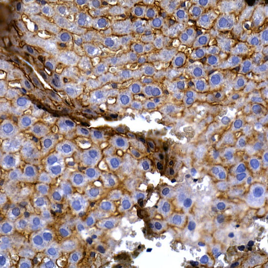
Immunohistochemistry analysis of paraffin-embedded Rat liver using SLC14A1 Rabbit pAb (CAB15991) at dilution of 1:200 (40x lens). High pressure antigen retrieval performed with 0.01M Citrate buffer (pH 6.0) prior to IHC staining.
Immunofluorescence analysis of paraffin-embedded mouse kidney using SLC14A1 Rabbit pAb (CAB15991) at dilution of 1:100. Secondary antibody: Cy3-conjugated Goat anti-Rabbit IgG (H+L) (CABS007) at 1:500 dilution. Blue: DAPI for nuclear staining.