The SLC18A3 Antibody (CAB16068) is a high-quality antibody developed for reliable detection and analysis of target proteins. This antibody, produced in rabbits, exhibits high reactivity with human samples and is validated for use in Western blot applications. By specifically binding to the SLC18A3 protein, researchers can accurately detect and analyze this crucial transporter in a variety of cell types.SLC18A3 plays a crucial role in neurotransmitter storage and release, making it essential for proper neuronal function and communication. Dysregulation of SLC18A3 has been linked to various neurological disorders, including Parkinson's disease and schizophrenia, highlighting its importance in the field of neuroscience research.
This antibody is validated for use in IHC-P, ELISA, IF-P applications and has demonstrated reactivity against Mouse, Rat samples.
Product Name:
SLC18A3 Antibody
SKU:
CAB16068
Size:
20μL, 100μL
Reactivity:
Mouse, Rat
Conjugate:
Unconjugated
Immunogen:
Recombinant protein (or fragment).This information is considered to be commercially sensitive.
Recommended starting concentration is 1 μg/mL. Please optimize the concentration based on your specific assay requirements.
Synonyms:
CMS21, VACHT, SLC18A3
Positive Sample:
Mouse brain, Rat brain
Cellular Localization:
Membrane, Multi-Pass Membrane Protein.
Calculated MW:
57kDa
Observed MW:
65kDa
This gene is a member of the vesicular amine transporter family. The encoded transmembrane protein transports acetylcholine into secretory vesicles for release into the extracellular space. Acetylcholine transport utilizes a proton gradient established by a vacuolar ATPase. This gene is located within the first intron of the choline acetyltransferase gene.
Purification Method
Affinity purification
Gene ID
6572
RRID
AB_2763508
Buffer Information
Store at -20℃. Avoid freeze / thaw cycles. Buffer: PBS with 0.01% thimerosal,50% glycerol,pH7.3.
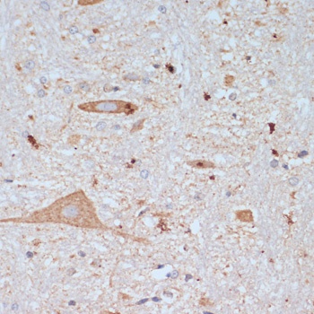
Immunohistochemistry analysis of paraffin-embedded Rat brain using SLC18A3 Rabbit pAb (CAB16068) at dilution of 1:200 (40x lens). Microwave antigen retrieval performed with 0.01M PBS Buffer (pH 7.2) prior to IHC staining.
Immunofluorescence analysis of paraffin-embedded mouse brain using SLC18A3 Rabbit pAb (CAB16068) at dilution of 1:100 (40x lens). Secondary antibody: Cy3-conjugated Goat anti-Rabbit IgG (H+L) (CABS007) at 1:500 dilution. Blue: DAPI for nuclear staining.