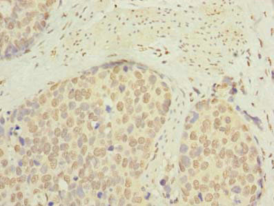
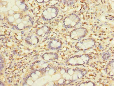
SLC22A18AS Antibody is a premium polyclonal that offers outstanding performance and reliability for demanding research applications. Rigorously validated for ELISA, IHC, this antibody ensures consistent, reproducible results across multiple experimental platforms. Demonstrates excellent reactivity with Human samples, providing researchers with confidence in cross-species compatibility. Conveniently packaged in 50ug format to meet your experimental needs. For optimal performance, store at -20°C or -80°C and maintains stability for 12 months. Backed by rigorous quality control testing to ensure superior performance in your critical research applications.
Product Name:
SLC22A18AS Antibody
SKU:
PACO39382
Size:
50μg
Isotype:
IgG
Host Species:
Rabbit
Reactivity:
Human
Immunogen:
Recombinant Human Beckwith-Wiedemann syndrome chromosomal region 1 candidate gene B protein (1-150AA)
Immunogen Species:
Homo sapiens (Human)
Uniprot No:
Q8N1D0
Form:
Liquid
Tested Applications:
ELISAIHC
Recommended Dilution:
Application
Recommended Dilution
IHC
1:20-1:200
Synonyms:
SLC22A18AS antibody, BWR1B antibody, BWSCR1B antibody, ORCTL2S antibody, SLC22A1LSBeckwith-Wiedemann syndrome chromosomal region 1 candidate gene B protein antibody, Organic cation transporter-like protein 2 antisense protein antibody, Solute carrier family 22 member 1-like antisense protein antibody, Solute carrier family 22 member 18 antisense protein antibody, p27-Beckwith-Wiedemann region 1 B antibody, p27-BWR1B antibody