The SLC25A23 Antibody (CAB14352) is a high-quality antibody developed for reliable detection and analysis of target proteins. This antibody, generated in rabbits, is highly specific for human samples and is validated for use in Western blot applications. By binding to the SLC25A23 protein, this antibody enables researchers to detect and study the role of SLC25A23 in various cellular processes.SLC25A23 is involved in the transport of ions, nucleotides, and metabolites across the inner mitochondrial membrane, playing a crucial role in cellular metabolism and energy production. Dysregulation of SLC25A23 has been linked to various diseases, including metabolic disorders and neurodegenerative diseases.
This antibody is validated for use in WB, IF/ICC, ELISA applications and has demonstrated reactivity against Human, Mouse, Rat samples.
Product Name:
SLC25A23 Antibody
SKU:
CAB14352
Size:
20μL, 100μL
Reactivity:
Human, Mouse, Rat
Conjugate:
Unconjugated
Immunogen:
Recombinant protein (or fragment).This information is considered to be commercially sensitive.
Predicted to enable ATP transmembrane transporter activity. Involved in calcium import into the mitochondrion; positive regulation of mitochondrial calcium ion concentration; and regulation of cellular hyperosmotic salinity response. Located in mitochondrion.
Purification Method
Affinity purification
Gene ID
79085
RRID
AB_2761218
Buffer Information
Store at -20℃. Avoid freeze / thaw cycles. Buffer: PBS with 0.01% thimerosal,50% glycerol,pH7.3.
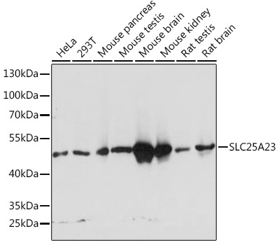
Western blot analysis of various lysates using SLC25A23 Rabbit pAb (CAB14352) at 1:1000 dilution. Secondary antibody: HRP-conjugated Goat anti-Rabbit IgG (H+L) (CABS014) at 1:10000 dilution. Lysates/proteins: 25μg per lane. Blocking buffer: 3% nonfat dry milk in TBST. Detection: ECL Basic Kit (AbGn00020). Exposure time: 3s.
Immunofluorescence analysis of NIH/3T3 cells using SLC25A23 Rabbit pAb (CAB14352) at dilution of 1:100. Secondary antibody: Cy3-conjugated Goat anti-Rabbit IgG (H+L) (CABS007) at 1:500 dilution. Blue: DAPI for nuclear staining.