The SLC28A2 Antibody (CAB16086) is a high-quality antibody developed for reliable detection and analysis of target proteins. This antibody, generated in rabbits, demonstrates high reactivity with human samples and is validated for use in Western blot applications. By binding to the SLC28A2 protein, this antibody enables accurate detection and analysis in various cell types, making it ideal for investigations in nucleoside transport, drug delivery, and cancer research.
This antibody is validated for use in WB, ELISA applications and has demonstrated reactivity against Human, Mouse, Rat samples.
Product Name:
SLC28A2 Antibody
SKU:
CAB16086
Size:
20μL, 100μL
Reactivity:
Human, Mouse, Rat
Conjugate:
Unconjugated
Immunogen:
Synthetic peptide. This information is considered to be commercially sensitive.
Sequence:
GAFI AFGV DASS LISA SVMA APCA LASS KLAY PEVE ESKF KSEE GVKL PRGK ERNV LEAA SNGA VDAI GLAT NVAA NLIA FLAV LAFI NAAL SWLG ELVD I
Tested Applications:
WBELISA
Recommended Dilution:
WB
1:500 - 1:2000
ELISA
Recommended starting concentration is 1 μg/mL. Please optimize the concentration based on your specific assay requirements.
Synonyms:
CNT2, HCNT2, SPNT1, HsT17153, SLC28A2
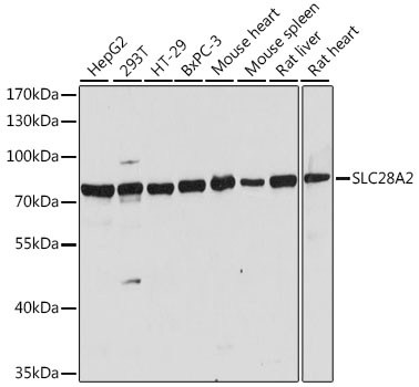
Positive Sample:
HepG2, 293T, HT-29, BxPC-3, Mouse heart, Mouse spleen, Rat liver, Rat heart
Cellular Localization:
Membrane, Multi-Pass Membrane Protein.
Calculated MW:
72kDa
Observed MW:
72kDa
Enables neurotransmitter transmembrane transporter activity and nucleoside transmembrane transporter activity. Involved in several processes, including nucleoside transport; purine nucleobase transmembrane transport; and pyrimidine-containing compound transmembrane transport. Predicted to be located in membrane. Predicted to be part of brush border membrane; coated vesicle; and vesicle membrane. Predicted to be integral component of plasma membrane.
Purification Method
Affinity purification
Gene ID
9153
RRID
AB_2763527
Buffer Information
Store at -20℃. Avoid freeze / thaw cycles. Buffer: PBS with 0.01% thimerosal,50% glycerol,pH7.3.
Western blot analysis of various lysates using SLC28A2 Rabbit pAb (CAB16086) at 1:1000 dilution. Secondary antibody: HRP-conjugated Goat anti-Rabbit IgG (H+L) (CABS014) at 1:10000 dilution. Lysates/proteins: 25μg per lane. Blocking buffer: 3% nonfat dry milk in TBST. Detection: ECL Basic Kit (AbGn00020). Exposure time: 5s.