SLC2A11 Antibody is a premium polyclonal that offers outstanding performance and reliability for demanding research applications. Rigorously validated for ELISA, IHC, this antibody ensures consistent, reproducible results across multiple experimental platforms. Demonstrates excellent reactivity with Human samples, providing researchers with confidence in cross-species compatibility. Conveniently packaged in 50ul format to meet your experimental needs. For optimal performance, store at -20°C or -80°C and maintains stability for 12 months. Backed by rigorous quality control testing to ensure superior performance in your critical research applications.
Product Name:
SLC2A11 Antibody
SKU:
PACO18005
Size:
50μl
Isotype:
IgG
Host Species:
Rabbit
Reactivity:
Human
Immunogen:
Synthetic peptide of Human SLC2A11
Immunogen Species:
Homo sapiens (Human)
Uniprot No:
Q9BYW1
Form:
Liquid
Tested Applications:
ELISAIHC
Recommended Dilution:
Application
Recommended Dilution
ELISA
1:2000-1:10000
IHC
1:100-1:300
Synonyms:
SLC2A11 antibody, GLUT11Solute carrier family 2 antibody, facilitated glucose transporter member 11 antibody, Glucose transporter type 11 antibody, GLUT-11 antibody
Target Names:
SLC2A11
Storage Buffer:
-20°C, pH7.4 PBS, 0.05% NaN3, 40% Glycerol
Purification:
Antigen affinity purification
Conjugate:
Non-conjugated
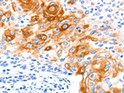
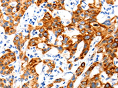
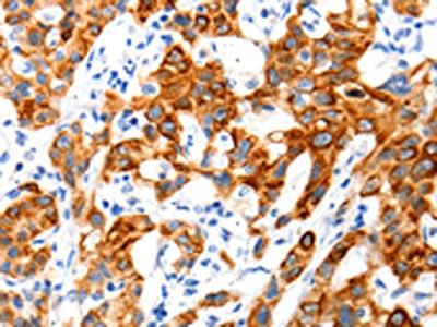
The image on the left is immunohistochemistry of paraffin-embedded Human lung cancer tissue using PACO18005 at dilution 1/140, on the right is treated with synthetic peptide. (Original magnification: ×200)
The image on the left is immunohistochemistry of paraffin-embedded Human cervical cancer tissue using PACO18005 at dilution 1/140, on the right is treated with synthetic peptide. (Original magnification: ×200)