The SLC39A4 Antibody (CAB3454) is a high-quality antibody developed for reliable detection and analysis of target proteins. This antibody, generated in rabbits, specifically targets the SLC39A4 protein and is highly reactive with human samples.SLC39A4 is a zinc transporter that regulates the cellular uptake of zinc, an essential micronutrient involved in numerous physiological processes. Dysregulation of zinc homeostasis has been associated with various diseases, including cancer, neurodegenerative disorders, and metabolic conditions.
This antibody is validated for use in WB, IHC-P, ELISA applications and has demonstrated reactivity against Human, Mouse, Rat samples.
Product Name:
SLC39A4 Antibody
SKU:
CAB3454
Size:
20μL, 100μL
Reactivity:
Human, Mouse, Rat
Conjugate:
Unconjugated
Immunogen:
Recombinant protein (or fragment).This information is considered to be commercially sensitive.
This gene encodes a member of the zinc/iron-regulated transporter-like protein (ZIP) family. The encoded protein localizes to cell membranes and is required for zinc uptake in the intestine. Mutations in this gene result in acrodermatitis enteropathica. Multiple transcript variants encoding different isoforms have been found for this gene.
Purification Method
Affinity purification
Gene ID
55630
RRID
AB_2765118
Buffer Information
Store at -20℃. Avoid freeze / thaw cycles. Buffer: PBS containing 50% glycerol, preserved with proclin300 or sodium azide, pH 7.3.
Western blot analysis of lysates from wild type (WT) and 293T cells transfected with SLC39A4 using SLC39A4 Rabbit pAb (CAB3454) at 1:2000 dilution. Secondary antibody: HRP-conjugated Goat anti-Rabbit IgG (H+L) (CABS014) at 1:10000 dilution. Lysates/proteins: 25μg per lane. Blocking buffer: 3% nonfat dry milk in TBST. Detection: ECL Basic Kit (AbGn00020). Exposure time: 30s.
Immunohistochemistry analysis of paraffin-embedded Human colon carcinoma using SLC39A4 Rabbit pAb (CAB3454) at dilution of 1:100 (40x lens). Microwave antigen retrieval performed with 0.01M PBS Buffer (pH 7.2) prior to IHC staining.
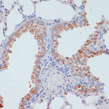
Immunohistochemistry analysis of paraffin-embedded Mouse lung using SLC39A4 Rabbit pAb (CAB3454) at dilution of 1:100 (40x lens). Microwave antigen retrieval performed with 0.01M PBS Buffer (pH 7.2) prior to IHC staining.