The SLC44A1 Antibody (CAB15413) is a high-quality antibody developed for reliable detection and analysis of target proteins. This antibody, produced in rabbits, exhibits excellent reactivity with human samples and is validated for use in Western blot applications. By binding specifically to the SLC44A1 protein, researchers can detect and analyze its expression in various cell types, making it a reliable tool for studies in molecular biology and cell physiology.SLC44A1, also known as choline transporter-like protein 1, plays a crucial role in choline uptake and metabolism, impacting processes such as cell proliferation, lipid metabolism, and neurotransmitter synthesis.
This antibody is validated for use in WB, ELISA applications and has demonstrated reactivity against Human, Mouse, Rat samples.
Product Name:
SLC44A1 Antibody
SKU:
CAB15413
Size:
20μL, 100μL
Reactivity:
Human, Mouse, Rat
Conjugate:
Unconjugated
Immunogen:
Recombinant protein (or fragment).This information is considered to be commercially sensitive.
Enables choline transmembrane transporter activity. Involved in choline transport and transmembrane transport. Located in several cellular components, including cytosol; mitochondrion; and nucleoplasm. Implicated in high grade glioma.
Purification Method
Affinity purification
Gene ID
23446
RRID
AB_2762321
Buffer Information
Store at -20℃. Avoid freeze / thaw cycles. Buffer: PBS with 0.01% thimerosal,50% glycerol,pH7.3.
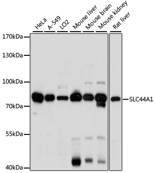
Western blot analysis of various lysates using SLC44A1 Rabbit pAb (CAB15413) at 1:1000 dilution. Secondary antibody: HRP-conjugated Goat anti-Rabbit IgG (H+L) (CABS014) at 1:10000 dilution. Lysates/proteins: 25μg per lane. Blocking buffer: 3% nonfat dry milk in TBST. Detection: ECL Basic Kit (AbGn00020). Exposure time: 30s.