The SLIRP Antibody (CAB15524) is a high-quality antibody developed for reliable detection and analysis of target proteins. This antibody, raised in rabbits, is highly reactive with human samples and has been validated for use in various applications such as Western blot and immunofluorescence.SLIRP, also known as SRA Stem-Loop Interacting RNA Binding Protein, is essential for maintaining mitochondrial homeostasis and regulating gene expression.
This antibody is validated for use in WB, IHC-P, ELISA applications and has demonstrated reactivity against Human, Mouse samples.
Product Name:
SLIRP Antibody
SKU:
CAB15524
Size:
20μL, 100μL
Reactivity:
Human, Mouse
Conjugate:
Unconjugated
Immunogen:
Synthetic peptide. This information is considered to be commercially sensitive.
Recommended starting concentration is 1 μg/mL. Please optimize the concentration based on your specific assay requirements.
Synonyms:
DC50, PD04872, C14orf156, SLIRP
Positive Sample:
HeLa, DU145, NIH/3T3, Mouse brain
Cellular Localization:
Mitochondrion, Nucleus.
Calculated MW:
12kDa
Observed MW:
12kDa
Steroid receptor RNA activator (SRA, or SRA1; MIM 603819) is a complex RNA molecule containing multiple stable stem-loop structures that functions in coactivation of nuclear receptors. SLIRP interacts with stem-loop structure-7 of SRA (STR7) and modulates nuclear receptor transactivation (Hatchell et al., 2006 [PubMed 16762838]).
Purification Method
Affinity purification
Gene ID
81892
RRID
AB_2762925
Buffer Information
Store at -20℃. Avoid freeze / thaw cycles. Buffer: PBS with 0.01% thimerosal,50% glycerol,pH7.3.
Western blot analysis of various lysates using SLIRP Rabbit pAb (CAB15524) at 1:1000 dilution. Secondary antibody: HRP-conjugated Goat anti-Rabbit IgG (H+L) (CABS014) at 1:10000 dilution. Lysates/proteins: 25μg per lane. Blocking buffer: 3% nonfat dry milk in TBST. Detection: ECL Basic Kit (AbGn00020). Exposure time: 90s.
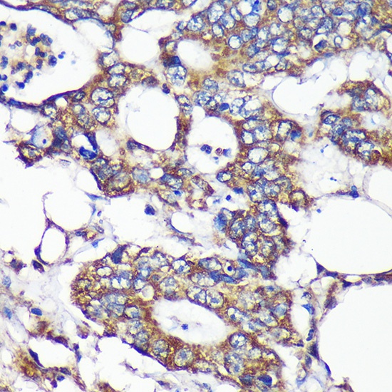
Immunohistochemistry analysis of paraffin-embedded Human colon carcinoma using SLIRP Rabbit pAb (CAB15524) at dilution of 1:100 (40x lens). Microwave antigen retrieval performed with 0.01M PBS Buffer (pH 7.2) prior to IHC staining.