The SMARCD1 Polyclonal Antibody (CAB6310) is a valuable tool for researchers studying the SMARCD1 protein, a key component of chromatin remodeling complexes that play a critical role in gene regulation. This antibody, developed using rabbits, exhibits high reactivity with human samples and has been validated for use in Western blot applications. By binding specifically to the SMARCD1 protein, researchers can accurately detect and analyze its expression in various cell types, making it an essential tool for studies in molecular biology and cancer research.
SMARCD1, also known as SWI/SNF-related matrix-associated actin-dependent regulator of chromatin subfamily D member 1, is involved in regulating gene expression by modulating chromatin structure. Dysregulation of SMARCD1 has been linked to various diseases, including cancer and developmental disorders, highlighting its importance in cellular processes. By investigating the function of SMARCD1, researchers can gain valuable insights into its role in disease progression and potentially identify new therapeutic targets for intervention.
Product Name:
SMARCD1 Rabbit Polyclonal Antibody
SKU:
CAB6310
Size:
20uL, 100uL
Isotype:
IgG
Host Species:
Rabbit
Reactivity:
Human,Mouse,Rat
Immunogen:
Recombinant fusion protein containing a sequence corresponding to amino acids 216-515 of human SMARCD1 (NP_003067.3).
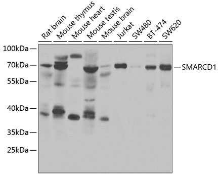
Rat brain,Mouse thymus,Mouse heart,Mouse testis,Mouse brain,Jurkat,SW480,BT-474,SW620
Conjugate:
Unconjugated
Cellular Localization:
Nucleus.
Calculated MW:
58kDa
Observed MW:
70kDa
The protein encoded by this gene is a member of the SWI/SNF family of proteins, whose members display helicase and ATPase activities and which are thought to regulate transcription of certain genes by altering the chromatin structure around those genes. The encoded protein is part of the large ATP-dependent chromatin remodeling complex SNF/SWI and has sequence similarity to the yeast Swp73 protein. Two transcript variants encoding different isoforms have been found for this gene.
Purification Method:
Affinity purification
Gene ID:
6602
Storage Buffer:
Store at -20℃. Avoid freeze / thaw cycles.Buffer: PBS with 0.02% sodium azide,50% glycerol,pH7.3.
Western blot analysis of extracts of various cell lines, using SMARCD1 antibody (CAB6310) at 1:1000 dilution.Secondary antibody: HRP Goat Anti-Rabbit IgG (H+L) (CABS014) at 1:10000 dilution.Lysates/proteins: 25μg per lane.Blocking buffer: 3% nonfat dry milk in TBST.Detection: ECL Enhanced Kit (AbGn00021).Exposure time: 30s.