The SNAPIN Antibody (CAB10294) is a high-quality antibody developed for reliable detection and analysis of target proteins. This antibody, produced in rabbits, is highly specific and reactive with human samples, making it a valuable tool for studying the function and localization of SNAPIN in various cellular processes.SNAPIN is a crucial component of the SNARE complex, which mediates vesicle fusion and neurotransmitter release in neurons. Dysregulation of SNAPIN has been implicated in neurodegenerative diseases, making it a promising target for therapeutic interventions. The SNAPIN Polyclonal Antibody enables researchers to study the expression levels and subcellular localization of SNAPIN in different cell types, providing insights into its role in neuronal function and potential implications in disease pathology.
This antibody is validated for use in WB, IHC-P, ELISA applications and has demonstrated reactivity against Human, Mouse, Rat samples.
Product Name:
SNAPIN Antibody
SKU:
CAB10294
Size:
20μL, 100μL
Reactivity:
Human, Mouse, Rat
Conjugate:
Unconjugated
Immunogen:
Recombinant protein (or fragment).This information is considered to be commercially sensitive.
The protein encoded by this gene is a coiled-coil-forming protein that associates with the SNARE (soluble N-ethylmaleimide-sensitive fusion protein attachment protein receptor) complex of proteins and the BLOC-1 (biogenesis of lysosome-related organelles) complex. Biochemical studies have identified additional binding partners. As part of the SNARE complex, it is required for vesicle docking and fusion and regulates neurotransmitter release. The BLOC-1 complex is required for the biogenesis of specialized organelles such as melanosomes and platelet dense granules. Mutations in gene products that form the BLOC-1 complex have been identified in mouse strains that are models of Hermansky-Pudlak syndrome. Alternative splicing results in multiple transcript variants.
Purification Method
Affinity purification
Gene ID
23557
RRID
AB_2757837
Buffer Information
Store at -20℃. Avoid freeze / thaw cycles. Buffer: PBS containing 50% glycerol, preserved with proclin300 or sodium azide, pH 7.3.
Western blot analysis of various lysates using SNAPIN Rabbit pAb (CAB10294) at 1:1000 dilution. Secondary antibody: HRP-conjugated Goat anti-Rabbit IgG (H+L) (CABS014) at 1:10000 dilution. Lysates/proteins: 25μg per lane. Blocking buffer: 3% nonfat dry milk in TBST. Detection: ECL Enhanced Kit (AbGn00021). Exposure time: 30s.
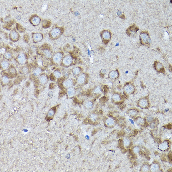
Immunohistochemistry analysis of paraffin-embedded Rat brain using SNAPIN Rabbit pAb (CAB10294) at dilution of 1:200 (40x lens). High pressure antigen retrieval performed with 0.01M Citrate buffer (pH 6.0) prior to IHC staining.