The gamma-Synuclein Antibody (CAB14492) is a high-quality antibody developed for reliable detection and analysis of target proteins. This antibody, developed using rabbits, exhibits high reactivity with human samples and has been validated for use in Western blot applications. By specifically binding to the SncG protein, this antibody allows for reliable detection and analysis in a variety of cell types, making it ideal for research in neuroscience and neurodegenerative diseases.SncG, also known as synuclein gamma, plays a crucial role in regulating synaptic vesicle exocytosis and neurotransmitter release, making it a key player in neuronal communication and function.
This antibody is validated for use in WB, IHC-P, ELISA applications and has demonstrated reactivity against Human, Mouse samples.
Product Name:
gamma-Synuclein Antibody
SKU:
CAB14492
Size:
20μL, 100μL
Reactivity:
Human, Mouse
Conjugate:
Unconjugated
Immunogen:
Synthetic peptide. This information is considered to be commercially sensitive.
Recommended starting concentration is 1 μg/mL. Please optimize the concentration based on your specific assay requirements.
Synonyms:
SR, BCSG1, gamma-Synuclein
Positive Sample:
SKOV3, HT-29
Cellular Localization:
Cytoplasm, Centrosome, Cytoskeleton, Microtubule Organizing Center, Perinuclear Region, Spindle.
Calculated MW:
13kDa
Observed MW:
16kDa
This gene encodes a member of the synuclein family of proteins which are believed to be involved in the pathogenesis of neurodegenerative diseases. Mutations in this gene have also been associated with breast tumor development.
Purification Method
Affinity purification
Gene ID
6623
RRID
AB_2761366
Buffer Information
Store at -20℃. Avoid freeze / thaw cycles. Buffer: PBS with 0.01% thimerosal,50% glycerol,pH7.3.
Western blot analysis of various lysates using gamma-Synuclein Rabbit pAb (CAB14492) at 1:3000 dilution. Secondary antibody: HRP-conjugated Goat anti-Rabbit IgG (H+L) (CABS014) at 1:10000 dilution. Lysates/proteins: 25μg per lane. Blocking buffer: 3% nonfat dry milk in TBST. Detection: ECL Basic Kit (AbGn00020). Exposure time: 90s.
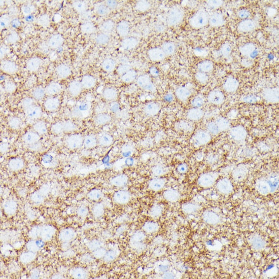
Immunohistochemistry analysis of paraffin-embedded Mouse brain using gamma-Synuclein Rabbit pAb (CAB14492) at dilution of 1:100 (40x lens). Microwave antigen retrieval performed with 0.01M PBS Buffer (pH 7.2) prior to IHC staining.