The SNRPA1 Antibody (CAB12161) is a high-quality antibody developed for reliable detection and analysis of target proteins. This high-quality antibody, generated in rabbits, exhibits strong reactivity with human samples and has been validated for use in Western blot applications.SNRPA1 is a crucial component of the spliceosome complex, essential for proper mRNA processing and protein synthesis. Dysregulation of SNRPA1 has been implicated in various diseases, including cancer and neurodegenerative disorders, making it a promising target for therapeutic interventions.
This antibody is validated for use in WB, IHC-P, ELISA applications and has demonstrated reactivity against Human, Mouse, Rat samples.
Product Name:
SNRPA1 Antibody
SKU:
CAB12161
Size:
20μL, 100μL
Reactivity:
Human, Mouse, Rat
Conjugate:
Unconjugated
Immunogen:
Recombinant protein (or fragment).This information is considered to be commercially sensitive.
Enables RNA binding activity. Involved in mRNA splicing, via spliceosome and spermatogenesis. Located in nuclear speck. Part of U2-type catalytic step 2 spliceosome and U2-type precatalytic spliceosome. Implicated in connective tissue disease.
Purification Method
Affinity purification
Gene ID
6627
RRID
AB_2759048
Buffer Information
Store at -20℃. Avoid freeze / thaw cycles. Buffer: PBS with 0.01% thimerosal,50% glycerol,pH7.3.
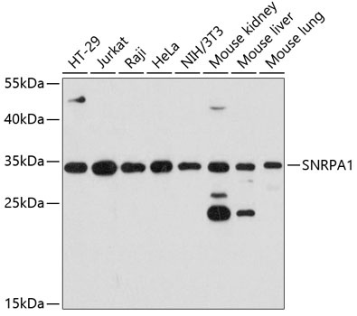
Western blot analysis of various lysates using SNRPA1 Rabbit pAb (CAB12161) at 1:3000 dilution. Secondary antibody: HRP-conjugated Goat anti-Rabbit IgG (H+L) (CABS014) at 1:10000 dilution. Lysates/proteins: 25μg per lane. Blocking buffer: 3% nonfat dry milk in TBST. Detection: ECL Basic Kit (AbGn00020). Exposure time: 10s.
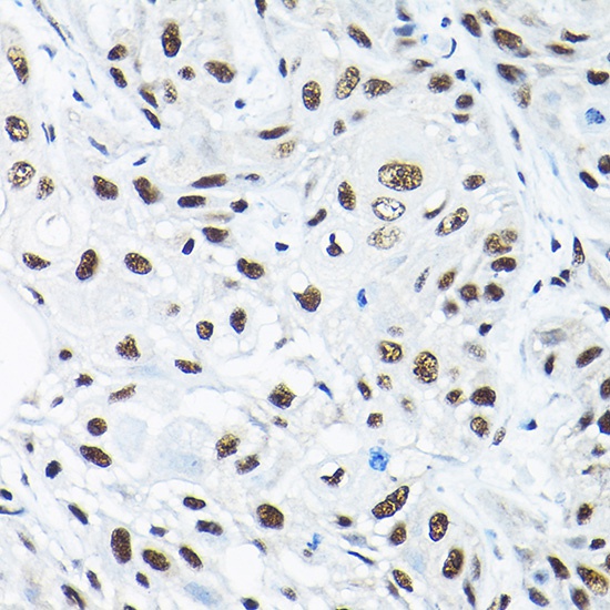
Immunohistochemistry analysis of paraffin-embedded Human esophageal cancer using SNRPA1 Rabbit pAb (CAB12161) at dilution of 1:200 (40x lens). High pressure antigen retrieval performed with 0.01M Citrate buffer (pH 6.0) prior to IHC staining.
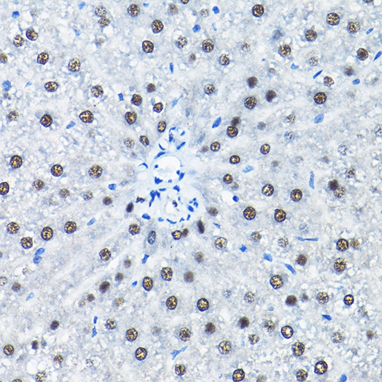
Immunohistochemistry analysis of paraffin-embedded Mouse liver using SNRPA1 Rabbit pAb (CAB12161) at dilution of 1:200 (40x lens). High pressure antigen retrieval performed with 0.01M Citrate buffer (pH 6.0) prior to IHC staining.
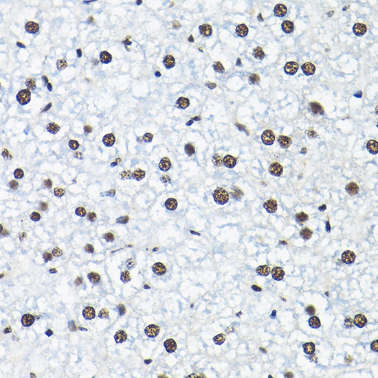
Immunohistochemistry analysis of paraffin-embedded Rat liver using SNRPA1 Rabbit pAb (CAB12161) at dilution of 1:200 (40x lens). High pressure antigen retrieval performed with 0.01M Citrate buffer (pH 6.0) prior to IHC staining.