null
100% Quality Guarantee
PhD-Level Technical Support
Key Features

SNRPD1 Rabbit Polyclonal Antibody (CAB14493)

SKU CAB14493
Product Type Antibody
Antibody Type Polyclonal Antibody
Reactivity Human, Mouse, Rat
Host Species Rabbit
Synonyms SMD1, SNRPD, Sm-D1, HsT2456, SNRPD1
Research Use Epigenetics and Nuclear Signaling
$127 - $488
Global Shipping: 80+ Countries
White Glove Service: Available upon request
Batch Consistency: Contact Sales
Distributors: 60+ Countries

Description

system_update_altDatasheetsystem_update_altMSDS

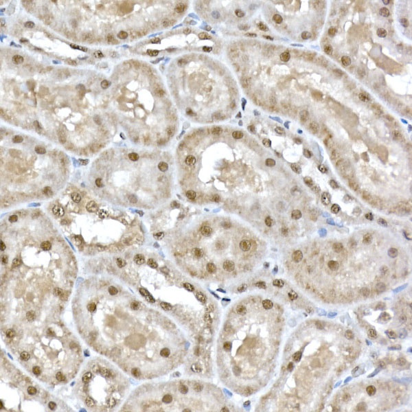
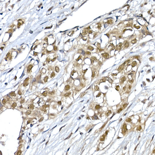
SNRPD1 Antibody (CAB14493)

The SNRPD1 Antibody (CAB14493) is a high-quality antibody developed for reliable detection and analysis of target proteins. This antibody, produced using rabbit immunization, exhibits high reactivity with human samples, making it an excellent tool for Western blot applications. By binding to the SNRPD1 protein, this antibody enables precise detection and analysis in a variety of cell types, making it an ideal choice for studies in molecular biology and gene expression research.

This antibody is validated for use in WB, IHC-P, IF/ICC, ELISA applications and has demonstrated reactivity against Human, Mouse, Rat samples.

0 Reviews

0
Based on 0 reviews

No reviews yet. Be the first to share your experience!

View AllClose