The SOX9 Antibody (CAB2479) is a high-quality antibody developed for reliable detection and analysis of target proteins. This antibody, generated in rabbits, is highly specific to human SOX9 and has been validated for use in Western blot and immunohistochemistry applications.SOX9 is essential for the regulation of embryonic development, particularly in the formation of cartilage, bone, and other tissues. Dysregulation of SOX9 has been implicated in a variety of diseases, including skeletal disorders and cancer.
This antibody is validated for use in WB, IHC-P, ELISA applications and has demonstrated reactivity against Human, Mouse, Rat samples.
Product Name:
SOX9 Antibody
SKU:
CAB2479
Size:
20μL, 100μL
Reactivity:
Human, Mouse, Rat
Conjugate:
Unconjugated
Immunogen:
Recombinant protein (or fragment).This information is considered to be commercially sensitive.
Recommended starting concentration is 1 μg/mL. Please optimize the concentration based on your specific assay requirements.
Synonyms:
CMD1, SRA1, CMPD1, SRXX2, SRXY10, SOX9
Positive Sample:
HepG2, Mouse testis, Mouse brain, Rat testis, Rat kidney, Rat brain
Cellular Localization:
Nucleus.
Calculated MW:
56kDa
Observed MW:
70kDa
The protein encoded by this gene recognizes the sequence CCTTGAG along with other members of the HMG-box class DNA-binding proteins. It acts during chondrocyte differentiation and, with steroidogenic factor 1, regulates transcription of the anti-Muellerian hormone (AMH) gene. Deficiencies lead to the skeletal malformation syndrome campomelic dysplasia, frequently with sex reversal.
Purification Method
Affinity purification
Gene ID
6662
RRID
AB_2764375
Buffer Information
Store at -20℃. Avoid freeze / thaw cycles. Buffer: PBS containing 50% glycerol, preserved with proclin300 or sodium azide, pH 7.3.
Western blot analysis of various lysates using SOX9 Rabbit pAb (CAB2479) at 1:1000 dilution. Secondary antibody: HRP-conjugated Goat anti-Rabbit IgG (H+L) (CABS014) at 1:10000 dilution. Lysates/proteins: 25μg per lane. Blocking buffer: 3% nonfat dry milk in TBST. Detection: ECL Basic Kit (AbGn00020). Exposure time: 120s.
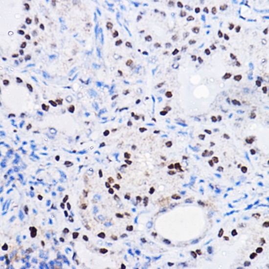
Immunohistochemistry analysis of paraffin-embedded Human thyroid cancer using SOX9 Rabbit pAb (CAB2479) at dilution of 1:100 (40x lens). High pressure antigen retrieval performed with 0.01M Citrate buffer (pH 6.0) prior to IHC staining.
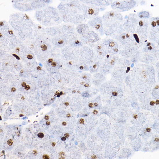
Immunohistochemistry analysis of paraffin-embedded Mouse pancreas using SOX9 Rabbit pAb (CAB2479) at dilution of 1:100 (40x lens). High pressure antigen retrieval performed with 0.01M Citrate buffer (pH 6.0) prior to IHC staining.