The SMOX Antibody (CAB11677) is a high-quality antibody developed for reliable detection and analysis of target proteins. This antibody, produced in rabbits, exhibits high reactivity with human samples and is validated for use in Western blot applications. By binding to spermine oxidase, researchers can detect and analyze the enzyme in various cell types, making it ideal for investigations in biochemistry and cancer research.
This antibody is validated for use in WB, IHC-P, ELISA applications and has demonstrated reactivity against Human, Mouse, Rat samples.
Product Name:
SMOX Antibody
SKU:
CAB11677
Size:
20μL, 100μL
Reactivity:
Human, Mouse, Rat
Conjugate:
Unconjugated
Immunogen:
Recombinant protein (or fragment).This information is considered to be commercially sensitive.
Polyamines are ubiquitous polycationic alkylamines which include spermine, spermidine, putrescine, and agmatine. These molecules participate in a broad range of cellular functions which include cell cycle modulation, scavenging reactive oxygen species, and the control of gene expression. These molecules also play important roles in neurotransmission through their regulation of cell-surface receptor activity, involvement in intracellular signalling pathways, and their putative roles as neurotransmitters. This gene encodes an FAD-containing enzyme that catalyzes the oxidation of spermine to spermadine and secondarily produces hydrogen peroxide. Multiple transcript variants encoding different isoenzymes have been identified for this gene, some of which have failed to demonstrate significant oxidase activity on natural polyamine substrates. The characterized isoenzymes have distinctive biochemical characteristics and substrate specificities, suggesting the existence of additional levels of complexity in polyamine catabolism.
Purification Method
Affinity purification
Gene ID
54498
RRID
AB_2758681
Buffer Information
Store at -20℃. Avoid freeze / thaw cycles. Buffer: PBS with 0.01% thimerosal,50% glycerol,pH7.3.
Western blot analysis of various lysates using SMOX Rabbit pAb (CAB11677) at 1:1000 dilution. Secondary antibody: HRP-conjugated Goat anti-Rabbit IgG (H+L) (CABS014) at 1:10000 dilution. Lysates/proteins: 25μg per lane. Blocking buffer: 3% nonfat dry milk in TBST. Detection: ECL Basic Kit (AbGn00020). Exposure time: 90s.
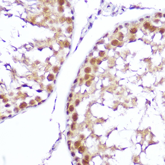
Immunohistochemistry analysis of paraffin-embedded Mouse testis using SMOX Rabbit pAb (CAB11677) at dilution of 1:100 (40x lens). High pressure antigen retrieval performed with 0.01M Citrate buffer (pH 6.0) prior to IHC staining.