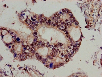
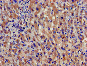
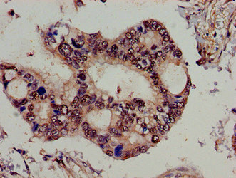
The SPG21 Polyclonal Antibody (PAC04294) is a valuable tool for researchers studying SPG21, a protein involved in autophagy and lysosomal enzyme trafficking. This antibody, generated in rabbits, demonstrates high specificity and reactivity with human samples, making it an excellent choice for Western blotting and immunofluorescence applications. By targeting the SPG21 protein, this antibody allows for the precise detection and analysis of SPG21 expression in various cell types, offering researchers valuable insights into autophagy-related processes.SPG21, also known as maspardin, plays a crucial role in the regulation of autophagy, a cellular process essential for maintaining homeostasis and eliminating damaged organelles. Dysregulation of autophagy has been implicated in various diseases, including neurodegenerative disorders and cancer.
By studying the function of SPG21, researchers can gain a better understanding of autophagy pathways and potentially uncover new therapeutic targets for these conditions.In conclusion, the SPG21 Polyclonal Antibody is a reliable tool for investigating the role of SPG21 in autophagy and lysosomal enzyme trafficking. Its high specificity and reactivity make it an invaluable asset for research in areas such as neurobiology, oncology, and cell biology. By utilizing this antibody, researchers can deepen their understanding of autophagy-related processes and potentially contribute to the development of novel therapeutic strategies for autophagy-associated diseases.
SPG21: May play a role as a negative regulatory factor in CD4- dependent T-cell activation. Defects in SPG21 are the cause of spastic paraplegia autosomal recessive type 21 (SPG21); also known as Mast syndrome. Spastic paraplegia is a neurodegenerative disorder characterized by a slow, gradual, progressive weakness and spasticity of the lower limbs. Rate of progression and the severity of symptoms are quite variable. Initial symptoms may include difficulty with balance, weakness and stiffness in the legs, muscle spasms, and dragging the toes when walking. In some forms of the disorder, bladder symptoms (such as incontinence) may appear, or the weakness and stiffness may spread to other parts of the body. SPG21 is associated with dementia and other central nervous system abnormalities. Subtle childhood abnormalities may be present, but the main features develop in early adulthood. The disease is slowly progressive, and cerebellar and extrapyramidal signs are also found in patients with advanced disease. Patients have a thin corpus callosum and white-matter abnormalities. Belongs to the AB hydrolase superfamily. 2 isoforms of the human protein are produced by alternative splicing.Protein type: Unknown functionChromosomal Location of Human Ortholog: 15q22.31Cellular Component: nucleoplasm; trans-Golgi network transport vesicle; cytoplasm; endosome membrane; nucleus; cytosolMolecular Function: protein binding; CD4 receptor bindingBiological Process: antigen receptor-mediated signaling pathwayDisease: Mast Syndrome
UniProt Protein Details:
NCBI Summary:
The protein encoded by this gene binds to the hydrophobic C-terminal amino acids of CD4 which are involved in repression of T cell activation. The interaction with CD4 is mediated by the noncatalytic alpha/beta hydrolase fold domain of this protein. It is thus proposed that this gene product modulates the stimulatory activity of CD4. Mutations in this gene are associated with autosomal recessive spastic paraplegia 21 (SPG21), also known as mast syndrome. Alternative splicing results in multiple transcript variants. [provided by RefSeq, Aug 2014]