The SPIN1 Antibody (CAB5853) is a high-quality antibody developed for reliable detection and analysis of target proteins. This antibody, generated in rabbits, exhibits high specificity and sensitivity for detecting Spindlin-1 in human samples, making it a reliable choice for various research applications, including Western blotting.Spindlin-1 is known to interact with histone proteins and play a role in epigenetic regulation, making it a key player in processes like cell differentiation and development.
This antibody is validated for use in WB, IHC-P, ELISA applications and has demonstrated reactivity against Human, Mouse, Rat samples.
Product Name:
SPIN1 Antibody
SKU:
CAB5853
Size:
20μL, 100μL
Reactivity:
Human, Mouse, Rat
Conjugate:
Unconjugated
Immunogen:
Recombinant protein (or fragment).This information is considered to be commercially sensitive.
Enables methylated histone binding activity. Involved in positive regulation of Wnt signaling pathway; positive regulation of transcription, DNA-templated; and rRNA transcription. Located in cytosol and nucleus.
Purification Method
Affinity purification
Gene ID
10927
RRID
AB_2766603
Buffer Information
Store at -20℃. Avoid freeze / thaw cycles. Buffer: PBS containing 50% glycerol, preserved with proclin300 or sodium azide, pH 7.3.
Western blot analysis of various lysates using SPIN1 Rabbit pAb (CAB5853) at 1:1000 dilution. Secondary antibody: HRP-conjugated Goat anti-Rabbit IgG (H+L) (CABS014) at 1:10000 dilution. Lysates/proteins: 25μg per lane. Blocking buffer: 3% nonfat dry milk in TBST. Detection: ECL Basic Kit (AbGn00020). Exposure time: 90s.
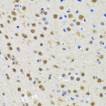
Immunohistochemistry analysis of paraffin-embedded Rat brain using SPIN1 Rabbit pAb (CAB5853) at dilution of 1:100 (40x lens). Microwave antigen retrieval performed with 0.01M PBS Buffer (pH 7.2) prior to IHC staining.