The SPIN2B Antibody (CAB7407) is a high-quality antibody developed for reliable detection and analysis of target proteins. This antibody, produced in rabbits, has high reactivity with human samples and has been validated for use in Western blot applications. It specifically targets the Spindlin-2B protein, facilitating its detection and analysis in various cell types.Spindlin-2B is known for its role in epigenetic regulation and has been implicated in various cellular processes, including cell division and differentiation. Its expression has been found to be dysregulated in certain cancer types, making it a potential target for cancer research and drug development.
This antibody is validated for use in WB, ELISA applications and has demonstrated reactivity against Human, Mouse, Rat samples.
Product Name:
SPIN2B Antibody
SKU:
CAB7407
Size:
20μL, 100μL
Reactivity:
Human, Mouse, Rat
Conjugate:
Unconjugated
Immunogen:
Recombinant protein (or fragment).This information is considered to be commercially sensitive.
Enables methylated histone binding activity. Predicted to be involved in regulation of transcription, DNA-templated. Located in cytosol and nucleoplasm.
Purification Method
Affinity purification
Gene ID
474343
RRID
AB_2767938
Buffer Information
Store at -20℃. Avoid freeze / thaw cycles. Buffer: PBS containing 50% glycerol, preserved with proclin300 or sodium azide, pH 7.3.
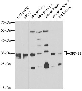
Western blot analysis of various lysates using SPIN2B Rabbit pAb (CAB7407) at 1:1000 dilution. Secondary antibody: HRP-conjugated Goat anti-Rabbit IgG (H+L) (CABS014) at 1:10000 dilution. Lysates/proteins: 25μg per lane. Blocking buffer: 3% nonfat dry milk in TBST. Detection: ECL Enhanced Kit (AbGn00021). Exposure time: 90s.