The SPON2 Antibody (CAB12077) is a high-quality antibody developed for reliable detection and analysis of target proteins. This antibody, raised in rabbits, exhibits high specificity and sensitivity when detecting SPON2 in various human samples. Validated for use in Western blot applications, this antibody enables accurate detection and analysis of SPON2 expression in different cell types, making it an ideal tool for studies in cancer research and immunology.
This antibody is validated for use in WB, IHC-P, ELISA applications and has demonstrated reactivity against Human, Rat samples.
Product Name:
SPON2 Antibody
SKU:
CAB12077
Size:
20μL, 100μL
Reactivity:
Human, Rat
Conjugate:
Unconjugated
Immunogen:
Recombinant protein (or fragment).This information is considered to be commercially sensitive.
Predicted to enable antigen binding activity; lipopolysaccharide binding activity; and metal ion binding activity. Predicted to be involved in cell adhesion. Predicted to act upstream of or within several processes, including defense response to other organism; opsonization; and positive regulation of cytokine production. Located in extracellular exosome.
Purification Method
Affinity purification
Gene ID
10417
RRID
AB_2772372
Buffer Information
Store at -20℃. Avoid freeze / thaw cycles. Buffer: PBS with 0.09% Sodium azide,50% glycerol,pH7.3.
Western blot analysis of various lysates using SPON2 Rabbit pAb (CAB12077) at 1:1000 dilution. Secondary antibody: HRP-conjugated Goat anti-Rabbit IgG (H+L) (CABS014) at 1:10000 dilution. Lysates/proteins: 25μg per lane. Blocking buffer: 3% nonfat dry milk in TBST. Detection: ECL Basic Kit (AbGn00020). Exposure time: 1s.
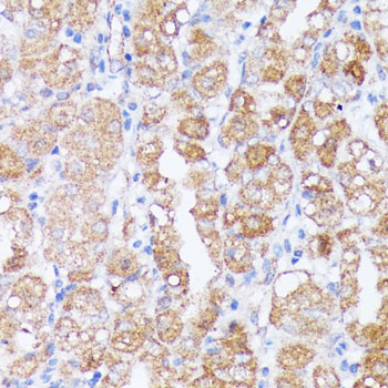
Immunohistochemistry analysis of paraffin-embedded Human stomach using SPON2 Rabbit pAb (CAB12077) at dilution of 1:100 (40x lens). Microwave antigen retrieval performed with 0.01M PBS Buffer (pH 7.2) prior to IHC staining.