The Alpha Fodrin Antibody (CAB0160) is a high-quality antibody developed for reliable detection and analysis of target proteins. This antibody, developed using rabbits as the host species, exhibits high reactivity with human samples and has been rigorously validated for use in Western blot applications.SPTAN1 is a crucial component of the spectrin cytoskeleton, playing a key role in maintaining cell shape and membrane stability. Mutations in the SPTAN1 gene have been associated with neurodevelopmental disorders and neurodegenerative diseases, making it an intriguing target for further investigation.
This antibody is validated for use in WB, IHC-P, IF/ICC, ELISA applications and has demonstrated reactivity against Human, Mouse, Rat samples.
Product Name:
Alpha Fodrin Antibody
SKU:
CAB0160
Size:
20μL, 100μL
Reactivity:
Human, Mouse, Rat
Conjugate:
Unconjugated
Immunogen:
Recombinant protein (or fragment).This information is considered to be commercially sensitive.
Recommended starting concentration is 1 μg/mL. Please optimize the concentration based on your specific assay requirements.
Synonyms:
DEE5, NEAS, EIEE5, SPTA2, Alpha Fodrin
Positive Sample:
U-87MG, Jurkat, A-549, NIH/3T3, Mouse kidney, Rat spinal cord
Cellular Localization:
Cytoplasm, Cell Cortex, Cytoskeleton.
Calculated MW:
285kDa
Observed MW:
285kDa
Spectrins are a family of filamentous cytoskeletal proteins that function as essential scaffold proteins that stabilize the plasma membrane and organize intracellular organelles. Spectrins are composed of alpha and beta dimers that associate to form tetramers linked in a head-to-head arrangement. This gene encodes an alpha spectrin that is specifically expressed in nonerythrocytic cells. The encoded protein has been implicated in other cellular functions including DNA repair and cell cycle regulation. Mutations in this gene are the cause of early infantile epileptic encephalopathy-5. Alternate splicing results in multiple transcript variants.
Purification Method
Affinity purification
Gene ID
6709
RRID
AB_2756991
Buffer Information
Store at -20℃. Avoid freeze / thaw cycles. Buffer: PBS with 0.01% thimerosal,50% glycerol,pH7.3.
Western blot analysis of various lysates using Alpha Fodrin Rabbit pAb (CAB0160) at 1:3000 dilution. Secondary antibody: HRP-conjugated Goat anti-Rabbit IgG (H+L) (CABS014) at 1:10000 dilution. Lysates/proteins: 25μg per lane. Blocking buffer: 3% nonfat dry milk in TBST. Detection: ECL Basic Kit (AbGn00020). Exposure time: 1s.
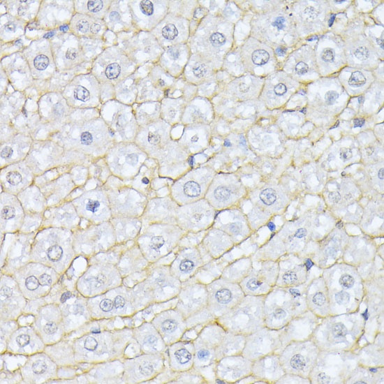
Immunohistochemistry analysis of paraffin-embedded Rat liver using Alpha Fodrin Rabbit pAb (CAB0160) at dilution of 1:100 (40x lens). Microwave antigen retrieval performed with 0.01M PBS Buffer (pH 7.2) prior to IHC staining.
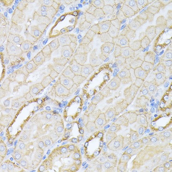
Immunohistochemistry analysis of paraffin-embedded Mouse kidney using Alpha Fodrin Rabbit pAb (CAB0160) at dilution of 1:100 (40x lens). Microwave antigen retrieval performed with 0.01M PBS Buffer (pH 7.2) prior to IHC staining.
Immunofluorescence analysis of U-2 OS cells using Alpha Fodrin Rabbit pAb (CAB0160) at dilution of 1:100. Secondary antibody: Cy3-conjugated Goat anti-Rabbit IgG (H+L) (CABS007) at 1:500 dilution. Blue: DAPI for nuclear staining.