The SQrdL Polyclonal Antibody (CAB9256) is a valuable tool for researchers studying the role of SQrdL in various biological processes. SQrdL, a key player in metabolic pathways and oxidative stress response, is known to be involved in regulating cellular energy production and antioxidant defense mechanisms.This polyclonal antibody, produced in rabbits, is highly specific and sensitive for detecting SQrdL in a variety of sample types. It has been validated for use in Western blot applications, allowing researchers to accurately measure SQrdL protein levels in different cell types and tissues.
With its ability to bind specifically to the SQrdL protein, this antibody enables researchers to study the function and expression of SQrdL in various physiological and pathological conditions. Its versatility and reliability make it an ideal tool for investigating the role of SQrdL in cellular metabolism, oxidative stress, and disease processes.Overall, the SQrdL Polyclonal Antibody (CAB9256) is a valuable resource for researchers interested in exploring the diverse functions of SQrdL and its potential implications in health and disease.
Product Name:
SQRDL Rabbit Polyclonal Antibody
SKU:
CAB9256
Size:
20uL, 100uL
Isotype:
IgG
Host Species:
Rabbit
Reactivity:
Human,Mouse,Rat
Immunogen:
Recombinant fusion protein containing a sequence corresponding to amino acids 211-450 of human SQRDL (NP_067022.1).
The protein encoded by this gene may function in mitochondria to catalyze the conversion of sulfide to persulfides, thereby decreasing toxic concencrations of sulfide. Alternative splicing results in multiple transcript variants that encode the same protein.
Purification Method:
Affinity purification
Gene ID:
58472
Storage Buffer:
Store at -20℃. Avoid freeze / thaw cycles.Buffer: PBS with 0.02% sodium azide,50% glycerol,pH7.3.
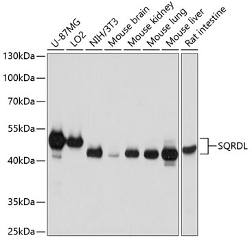
Western blot analysis of extracts of various cell lines, using SQRDL antibody (CAB9256) at 1:3000 dilution.Secondary antibody: HRP Goat Anti-Rabbit IgG (H+L) (CABS014) at 1:10000 dilution.Lysates/proteins: 25μg per lane.Blocking buffer: 3% nonfat dry milk in TBST.Detection: ECL Basic Kit (AbGn00020).Exposure time: 10s.