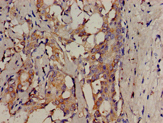
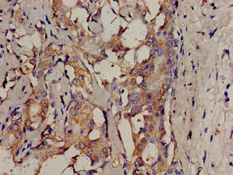
SRMS Antibody is a premium polyclonal that offers outstanding performance and reliability for demanding research applications. Rigorously validated for ELISA, IHC, IF, this antibody ensures consistent, reproducible results across multiple experimental platforms. Demonstrates excellent reactivity with Human samples, providing researchers with confidence in cross-species compatibility. Conveniently packaged in 50ug format to meet your experimental needs. For optimal performance, store at -20°C or -80°C and maintains stability for 12 months. Backed by rigorous quality control testing to ensure superior performance in your critical research applications.
Product Name:
SRMS Antibody
SKU:
PACO54182
Size:
50μg
Isotype:
IgG
Host Species:
Rabbit
Reactivity:
Human
Immunogen:
Recombinant Human Tyrosine-protein kinase Srms protein (19-155AA)
Immunogen Species:
Homo sapiens (Human)
Uniprot No:
Q9H3Y6
Form:
Liquid
Tested Applications:
ELISAIHCIF
Recommended Dilution:
Application
Recommended Dilution
IHC
1:20-1:200
IF
1:50-1:200
Synonyms:
C20orf148 antibody, dJ697K14.1 antibody, EC 2.7.1.112 antibody, Src related kinase lacking C terminal regulatory tyrosine and N terminal myristylation sites antibody, SRM antibody, SRMS antibody, SRMS_HUMAN antibody, Tyrosine protein kinase Srms antibody, Tyrosine-protein kinase Srms antibody