The SRM Antibody (CAB8151) is a high-quality antibody developed for reliable detection and analysis of target proteins. This antibody, produced in rabbits, is highly specific to human samples and is validated for use in Western blot applications. By binding to the spermidine synthase protein, this antibody enables accurate detection and analysis in a variety of cell types, making it ideal for investigations in the fields of biochemistry and molecular biology.Spermidine synthase plays a crucial role in the regulation of polyamine levels, which are essential for cell growth, proliferation, and differentiation.
This antibody is validated for use in WB, ELISA applications and has demonstrated reactivity against Human, Mouse, Rat samples.
Product Name:
SRM Antibody
SKU:
CAB8151
Size:
20μL, 100μL
Reactivity:
Human, Mouse, Rat
Conjugate:
Unconjugated
Immunogen:
Recombinant protein (or fragment).This information is considered to be commercially sensitive.
Recommended starting concentration is 1 μg/mL. Please optimize the concentration based on your specific assay requirements.
Synonyms:
PAPT, SPS1, SPDSY, SRML1, SRM
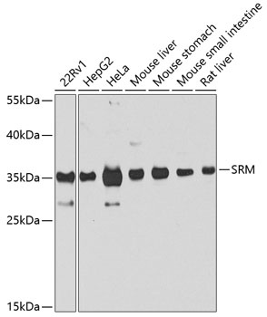
Positive Sample:
22Rv1, HepG2, HeLa, Mouse liver, Mouse stomach, Mouse small intestine, Rat liver
Cellular Localization:
Cytosol.
Calculated MW:
34kDa
Observed MW:
35kDa
The polyamines putrescine, spermine, and spermidine are ubiquitous polycationic mediators of cell growth and differentiation. Spermidine synthase is one of four enzymes in the polyamine-biosynthetic pathway and carries out the final step of spermidine biosynthesis. This enzyme catalyzes the conversion of putrescine to spermidine using decarboxylated S-adenosylmethionine as the cofactor.
Purification Method
Affinity purification
Gene ID
6723
RRID
AB_2772387
Buffer Information
Store at -20℃. Avoid freeze / thaw cycles. Buffer: PBS containing 50% glycerol, preserved with proclin300 or sodium azide, pH 7.3.
Western blot analysis of various lysates using SRM Rabbit pAb (CAB8151) at 1:1000 dilution. Secondary antibody: HRP-conjugated Goat anti-Rabbit IgG (H+L) (CABS014) at 1:10000 dilution. Lysates/proteins: 25μg per lane. Blocking buffer: 3% nonfat dry milk in TBST. Detection: ECL Basic Kit (AbGn00020). Exposure time: 10s.