The SRPRB Antibody (CAB10591) is a high-quality antibody developed for reliable detection and analysis of target proteins. Raised in rabbits, this antibody is highly specific for human samples and has been rigorously validated for use in Western blot applications. By binding to the SRPRB protein, this antibody enables precise detection and analysis in a variety of cell types, making it ideal for investigations in cell biology and protein trafficking studies.SRPRB is a crucial component in the process of protein synthesis and transport within the cell, playing a key role in ensuring that proteins are correctly targeted to the ER for proper folding and processing.
This antibody is validated for use in WB, IF/ICC, ELISA applications and has demonstrated reactivity against Human, Mouse, Rat samples.
Product Name:
SRPRB Antibody
SKU:
CAB10591
Size:
20μL, 100μL
Reactivity:
Human, Mouse, Rat
Conjugate:
Unconjugated
Immunogen:
Recombinant protein (or fragment).This information is considered to be commercially sensitive.
The protein encoded by this gene has similarity to mouse protein which is a subunit of the signal recognition particle receptor (SR). This subunit is a transmembrane GTPase belonging to the GTPase superfamily. It anchors alpha subunit, a peripheral membrane GTPase, to the ER membrane. SR is required for the cotranslational targeting of both secretory and membrane proteins to the ER membrane.
Purification Method
Affinity purification
Gene ID
58477
RRID
AB_2758132
Buffer Information
Store at -20℃. Avoid freeze / thaw cycles. Buffer: PBS containing 50% glycerol, preserved with proclin300 or sodium azide, pH 7.3.
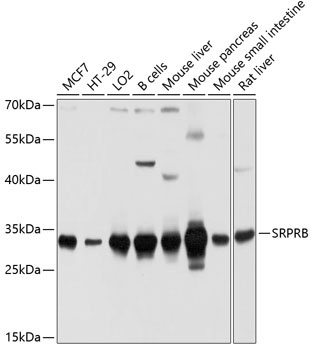
Western blot analysis of various lysates using SRPRB Rabbit pAb (CAB10591) at 1:1000 dilution. Secondary antibody: HRP-conjugated Goat anti-Rabbit IgG (H+L) (CABS014) at 1:10000 dilution. Lysates/proteins: 25μg per lane. Blocking buffer: 3% nonfat dry milk in TBST. Detection: ECL Basic Kit (AbGn00020). Exposure time: 5s.
Immunofluorescence analysis of H9C2 cells using SRPRB Rabbit pAb (CAB10591) at dilution of 1:100. Blue: DAPI for nuclear staining.