The SSNA1 Antibody (CAB13377) is a high-quality antibody developed for reliable detection and analysis of target proteins. This antibody, produced in rabbits, has a high specificity for human samples and is suitable for use in Western blot applications. By targeting the SSNA1 protein, this antibody allows for the detection and analysis of SSNA1 in different cell types, making it ideal for studies in molecular biology and oncology research.SSNA1, also known as Sjögren syndrome nuclear autoantigen 1, plays a key role in DNA repair and maintenance of genomic stability.
This antibody is validated for use in WB, IHC-P, ELISA applications and has demonstrated reactivity against Human, Mouse, Rat samples.
Product Name:
SSNA1 Antibody
SKU:
CAB13377
Size:
20μL, 100μL
Reactivity:
Human, Mouse, Rat
Conjugate:
Unconjugated
Immunogen:
Recombinant protein (or fragment).This information is considered to be commercially sensitive.
Enables identical protein binding activity. Predicted to act upstream of or within ciliary receptor clustering involved in smoothened signaling pathway and intraciliary transport. Located in centrosome.
Purification Method
Affinity purification
Gene ID
8636
RRID
AB_2760236
Buffer Information
Store at -20℃. Avoid freeze / thaw cycles. Buffer: PBS containing 50% glycerol, preserved with proclin300 or sodium azide, pH 7.3.
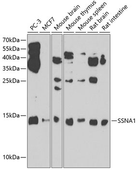
Western blot analysis of lysates from mouse spleen, using SSNA1 Rabbit pAb (CAB13377) at 1:1000 dilution. Secondary antibody: HRP-conjugated Goat anti-Rabbit IgG (H+L) (CABS014) at 1:10000 dilution. Lysates/proteins: 25μg per lane. Blocking buffer: 3% nonfat dry milk in TBST. Detection: ECL Enhanced Kit (AbGn00021). Exposure time: 90s.
Western blot analysis of various lysates using SSNA1 Rabbit pAb (CAB13377) at 1:1000 dilution. Secondary antibody: HRP-conjugated Goat anti-Rabbit IgG (H+L) (CABS014) at 1:10000 dilution. Lysates/proteins: 25μg per lane. Blocking buffer: 3% nonfat dry milk in TBST. Detection: ECL Enhanced Kit (AbGn00021). Exposure time: 90s.
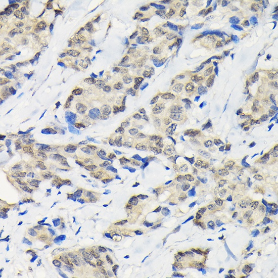
Immunohistochemistry analysis of paraffin-embedded Human breast cancer using SSNA1 Rabbit pAb (CAB13377) at dilution of 1:100 (40x lens). High pressure antigen retrieval performed with 0.01M Citrate buffer (pH 6.0) prior to IHC staining.
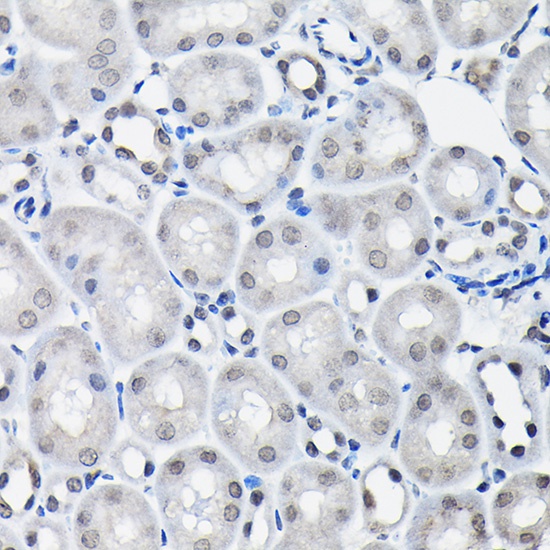
Immunohistochemistry analysis of paraffin-embedded Mouse kidney using SSNA1 Rabbit pAb (CAB13377) at dilution of 1:100 (40x lens). High pressure antigen retrieval performed with 0.01M Citrate buffer (pH 6.0) prior to IHC staining.