The ST8SIA2 Antibody (CAB7748) is a high-quality antibody developed for reliable detection and analysis of target proteins. This antibody, produced in rabbits, exhibits high reactivity with human samples and has been validated for use in Western blot applications. By specifically binding to the ST8SIA2 protein, this antibody allows for precise detection and analysis in various cell types, making it ideal for investigations in neuroscience, developmental biology, and cancer research.ST8SIA2 plays a crucial role in cell adhesion and migration processes, particularly in the developing nervous system.
This antibody is validated for use in WB, ELISA applications and has demonstrated reactivity against Human, Mouse, Rat samples.
Product Name:
ST8SIA2 Antibody
SKU:
CAB7748
Size:
20μL, 100μL
Reactivity:
Human, Mouse, Rat
Conjugate:
Unconjugated
Immunogen:
Recombinant protein (or fragment).This information is considered to be commercially sensitive.
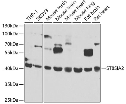
THP-1, SKOV3, Mouse testis, Mouse brain, Mouse heart, Mouse lung, Rat brain, Rat heart
Cellular Localization:
Golgi Apparatus Membrane, Single-Pass Type Ii Membrane Protein.
Calculated MW:
42kDa
Observed MW:
42kDa
The protein encoded by this gene is a type II membrane protein that is thought to catalyze the transfer of sialic acid from CMP-sialic acid to N-linked oligosaccharides and glycoproteins. The encoded protein may be found in the Golgi apparatus and may be involved in the production of polysialic acid, a modulator of the adhesive properties of neural cell adhesion molecule (NCAM1). This protein is a member of glycosyltransferase family 29.
Purification Method
Affinity purification
Gene ID
8128
RRID
AB_2772415
Buffer Information
Store at -20℃. Avoid freeze / thaw cycles. Buffer: PBS containing 50% glycerol, preserved with proclin300 or sodium azide, pH 7.3.
Western blot analysis of various lysates using ST8SIA2 Rabbit pAb (CAB7748) at 1:1000 dilution. Secondary antibody: HRP-conjugated Goat anti-Rabbit IgG (H+L) (CABS014) at 1:10000 dilution. Lysates/proteins: 25μg per lane. Blocking buffer: 3% nonfat dry milk in TBST. Detection: ECL Basic Kit (AbGn00020). Exposure time: 30s.