The STAT4 Antibody (CAB2638) is a high-quality antibody developed for reliable detection and analysis of target proteins. This antibody, generated in rabbits, exhibits high specificity and sensitivity towards human samples, making it suitable for use in Western blotting and other experimental techniques.STAT4 is known for its role in promoting the differentiation of T helper cells and driving the production of pro-inflammatory cytokines. Dysregulation of STAT4 activity has been linked to various autoimmune diseases, such as rheumatoid arthritis and multiple sclerosis, as well as certain types of cancer.
This antibody is validated for use in WB, IHC-P, IF/ICC, ELISA applications and has demonstrated reactivity against Human, Mouse, Rat samples.
Product Name:
STAT4 Antibody
SKU:
CAB2638
Size:
20μL, 100μL
Reactivity:
Human, Mouse, Rat
Conjugate:
Unconjugated
Immunogen:
Recombinant protein (or fragment).This information is considered to be commercially sensitive.
Recommended starting concentration is 1 μg/mL. Please optimize the concentration based on your specific assay requirements.
Synonyms:
SLEB11, STAT4
Positive Sample:
Mouse testis, Rat testis
Cellular Localization:
Cytoplasm, Nucleus.
Calculated MW:
86kDa
Observed MW:
93kDa
The protein encoded by this gene is a member of the STAT family of transcription factors. In response to cytokines and growth factors, STAT family members are phosphorylated by the receptor associated kinases, and then form homo- or heterodimers that translocate to the cell nucleus where they act as transcription activators. This protein is essential for mediating responses to IL12 in lymphocytes, and regulating the differentiation of T helper cells. Mutations in this gene may be associated with systemic lupus erythematosus and rheumatoid arthritis. Alternate splicing results in multiple transcript variants that encode the same protein.
Purification Method
Affinity purification
Gene ID
6775
RRID
AB_2764509
Buffer Information
Store at -20℃. Avoid freeze / thaw cycles. Buffer: PBS with 0.01% thimerosal,50% glycerol,pH7.3.
Western blot analysis of various lysates using STAT4 Rabbit pAb (CAB2638) at 1:3000 dilution._Secondary antibody: HRP-conjugated Goat anti-Rabbit IgG (H+L) (CABS014) at 1:10000 dilution._Lysates/proteins: 25μg per lane._Blocking buffer: 3% nonfat dry milk in TBST._Detection: ECL Enhanced Kit (AbGn00021)._Exposure time: 90s.
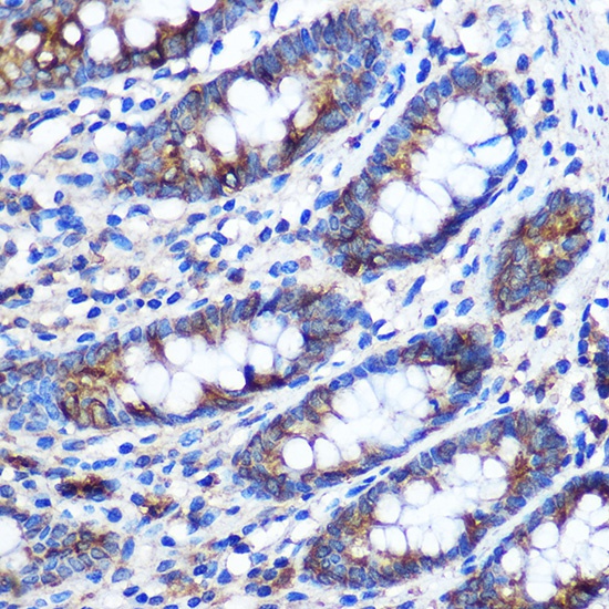
Immunohistochemistry analysis of paraffin-embedded Human colon using STAT4 Rabbit pAb (CAB2638) at dilution of 1:100 (40x lens). Microwave antigen retrieval performed with 0.01M PBS Buffer (pH 7.2) prior to IHC staining.
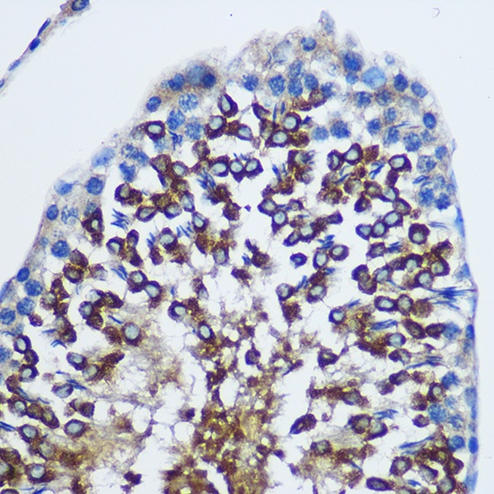
Immunohistochemistry analysis of paraffin-embedded Rat testis using STAT4 Rabbit pAb (CAB2638) at dilution of 1:100 (40x lens). Microwave antigen retrieval performed with 0.01M PBS Buffer (pH 7.2) prior to IHC staining.