The STIP1 Antibody (CAB14106) is a high-quality antibody developed for reliable detection and analysis of target proteins. This antibody, produced in rabbits, shows high reactivity with human samples and has been validated for use in Western blot applications.STIP1, also known as stress-induced phosphoprotein 1, plays a crucial role in maintaining protein homeostasis and responding to cellular stress. Its involvement in protein folding pathways makes it a key player in regulating protein quality control and preventing protein aggregation.
This antibody is validated for use in WB, IHC-P, IF/ICC, IP, ELISA applications and has demonstrated reactivity against Human, Mouse, Rat, Monkey samples.
Product Name:
STIP1 Antibody
SKU:
CAB14106
Size:
20μL, 100μL
Reactivity:
Human, Mouse, Rat, Monkey
Conjugate:
Unconjugated
Immunogen:
Recombinant protein (or fragment).This information is considered to be commercially sensitive.
STIP1 is an adaptor protein that coordinates the functions of HSP70 (see HSPA1A; MIM 140550) and HSP90 (see HSP90AA1; MIM 140571) in protein folding. It is thought to assist in the transfer of proteins from HSP70 to HSP90 by binding both HSP90 and substrate-bound HSP70. STIP1 also stimulates the ATPase activity of HSP70 and inhibits the ATPase activity of HSP90, suggesting that it regulates both the conformations and ATPase cycles of these chaperones (Song and Masison, 2005 [PubMed 16100115]).
Purification Method
Affinity purification
Gene ID
10963
RRID
AB_2760961
Buffer Information
Store at -20℃. Avoid freeze / thaw cycles. Buffer: PBS containing 50% glycerol, preserved with proclin300 or sodium azide, pH 7.3.
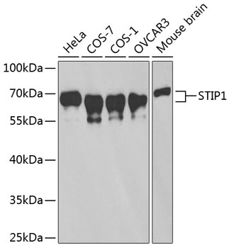
Western blot analysis of various lysates using STIP1 Rabbit pAb (CAB14106) at 1:1000 dilution. Secondary antibody: HRP-conjugated Goat anti-Rabbit IgG (H+L) (CABS014) at 1:10000 dilution. Lysates/proteins: 25μg per lane. Blocking buffer: 3% nonfat dry milk in TBST.
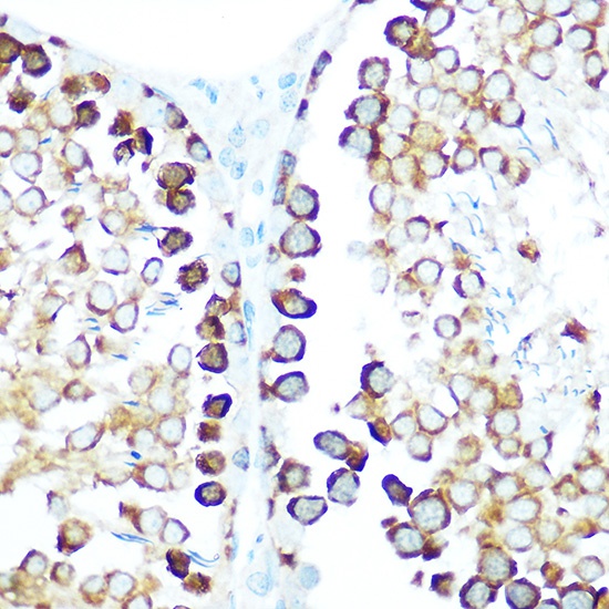
Immunohistochemistry analysis of paraffin-embedded Rat testis using STIP1 Rabbit pAb (CAB14106) at dilution of 1:100 (40x lens). Microwave antigen retrieval performed with 0.01M Tris/EDTA Buffer (pH 9.0) prior to IHC staining.
Immunofluorescence analysis of HeLa cells using STIP1 Rabbit pAb (CAB14106). Secondary antibody: Cy3-conjugated Goat anti-Rabbit IgG (H+L) (CABS007) at 1:500 dilution. Blue: DAPI for nuclear staining.
Immunoprecipitation analysis of 200 μg extracts of HeLa cells using 1 μg STIP1 antibody ( CAB14106). Western blot was performed from the immunoprecipitate using STIP1 antibody ( CAB14106) at a dilution of 1:1000.