The STIP1 Monoclonal Antibody (CAB0036) is a high-quality antibody developed for reliable detection and analysis of target proteins. This antibody, generated in rabbits, is highly specific for human samples and has been validated for use in Western blot applications. By binding to the STIP1 protein, this antibody enables accurate detection and analysis across various cell types, making it well-suited for studies in cell biology, molecular biology, and neurodegenerative diseases.
This antibody is validated for use in WB, IHC-P, ELISA applications and has demonstrated reactivity against Human, Mouse, Rat samples.
Product Name:
STIP1 Monoclonal Antibody
SKU:
CAB0036
Size:
20μL, 100μL
Reactivity:
Human, Mouse, Rat
Clone Number:
ARC1805
Conjugate:
Unconjugated
Immunogen:
Recombinant protein (or fragment).This information is considered to be commercially sensitive.
A-549, NIH/3T3, Mouse testis, Mouse brain, Rat brain, Rat thymus
Cellular Localization:
Cytoplasm, Nucleus.
Calculated MW:
63kDa
Observed MW:
68kDa
STIP1 is an adaptor protein that coordinates the functions of HSP70 (see HSPA1A; MIM 140550) and HSP90 (see HSP90AA1; MIM 140571) in protein folding. It is thought to assist in the transfer of proteins from HSP70 to HSP90 by binding both HSP90 and substrate-bound HSP70. STIP1 also stimulates the ATPase activity of HSP70 and inhibits the ATPase activity of HSP90, suggesting that it regulates both the conformations and ATPase cycles of these chaperones (Song and Masison, 2005 [PubMed 16100115]).
Purification Method
Affinity purification
Gene ID
10963
RRID
AB_2861447
Buffer Information
Store at -20℃. Avoid freeze / thaw cycles. Buffer: PBS containing 50% glycerol and 0.05% BSA, preserved with proclin300 or sodium azide, pH 7.3.
Western blot analysis of various lysates using STIP1 Rabbit mAb (CAB0036) at 1:1000 dilution. Secondary antibody: HRP-conjugated Goat anti-Rabbit IgG (H+L) (CABS014) at 1:10000 dilution. Lysates/proteins: 25μg per lane. Blocking buffer: 3% nonfat dry milk in TBST. Detection: ECL Basic Kit (AbGn00020). Exposure time: 1s.
Western blot analysis of various lysates using STIP1 Rabbit mAb (CAB0036) at 1:1000 dilution. Secondary antibody: HRP-conjugated Goat anti-Rabbit IgG (H+L) (CABS014) at 1:10000 dilution. Lysates/proteins: 25μg per lane. Blocking buffer: 3% nonfat dry milk in TBST. Detection: ECL Basic Kit (AbGn00020). Exposure time: 10s.
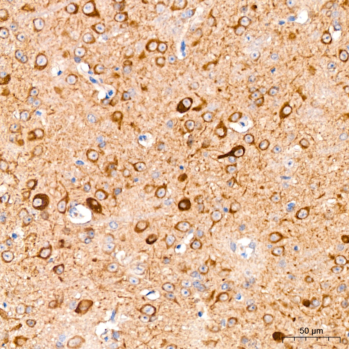
Immunohistochemistry analysis of paraffin-embedded Mouse brain tissue using STIP1 Rabbit mAb (CAB0036) at a dilution of 1:200 (40x lens). High pressure antigen retrieval performed with 0.01M Citrate buffer (pH 6.0) prior to IHC staining.
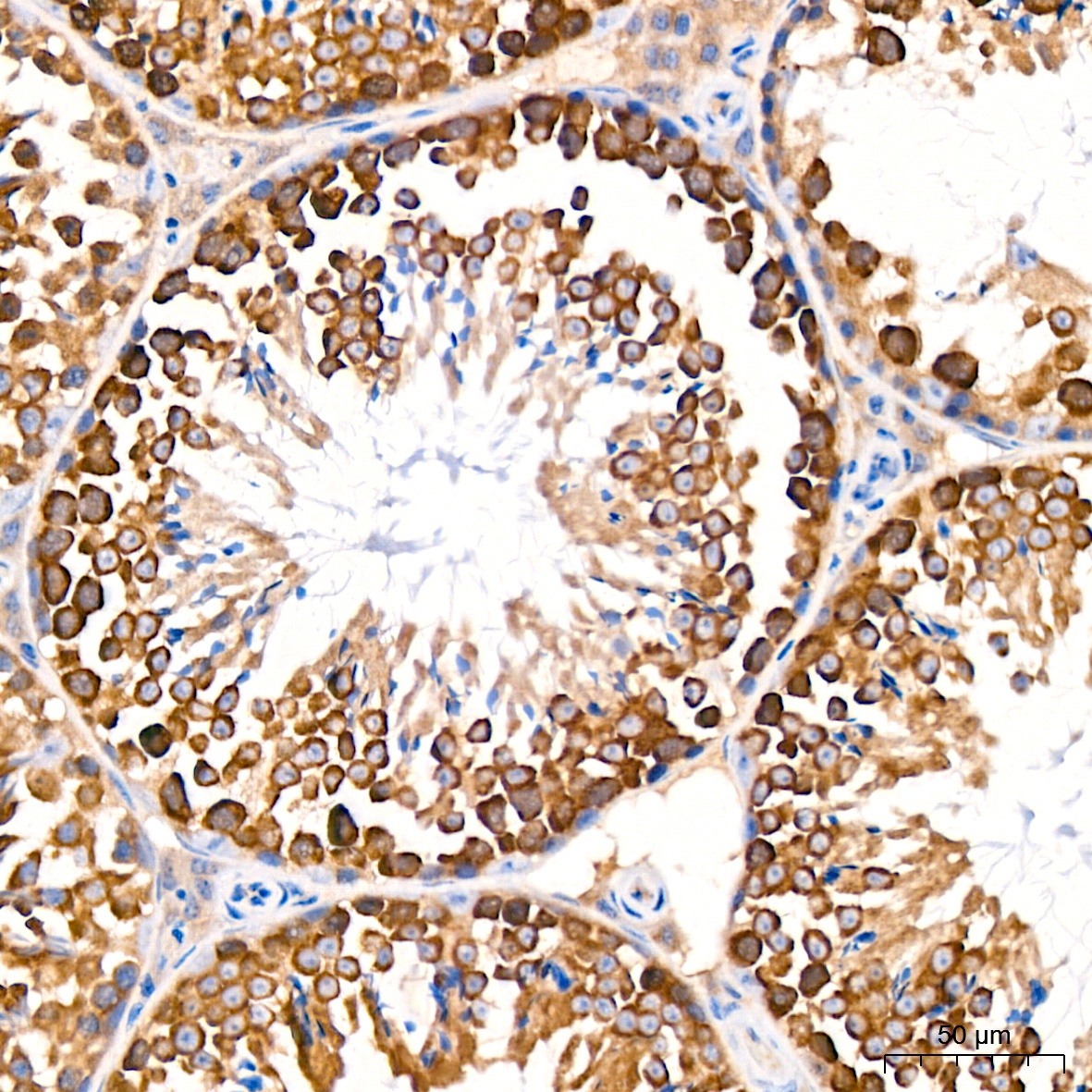
Immunohistochemistry analysis of paraffin-embedded Mouse testis tissue using STIP1 Rabbit mAb (CAB0036) at a dilution of 1:200 (40x lens). High pressure antigen retrieval performed with 0.01M Citrate buffer (pH 6.0) prior to IHC staining.
Immunohistochemistry analysis of paraffin-embedded Rat lung tissue using STIP1 Rabbit mAb (CAB0036) at a dilution of 1:200 (40x lens). High pressure antigen retrieval performed with 0.01M Citrate buffer (pH 6.0) prior to IHC staining.