The STRN3 Antibody (CAB6756) is a high-quality antibody developed for reliable detection and analysis of target proteins. This antibody, generated in rabbits, is highly specific and reactive with human samples, making it ideal for use in Western blot applications. By binding to the Striatin-3 protein, researchers can easily detect and analyze its expression in different cell types.Striatin-3 is involved in important cellular functions, such as cell signaling, membrane trafficking, and cell proliferation.
This antibody is validated for use in WB, IHC-P, IF/ICC, ELISA applications and has demonstrated reactivity against Human, Mouse, Rat samples.
Product Name:
STRN3 Antibody
SKU:
CAB6756
Size:
20μL, 100μL
Reactivity:
Human, Mouse, Rat
Conjugate:
Unconjugated
Immunogen:
Recombinant protein (or fragment).This information is considered to be commercially sensitive.
Recommended starting concentration is 1 μg/mL. Please optimize the concentration based on your specific assay requirements.
Synonyms:
SG2NA, S/G2NA, PPP2R6B, STRN3
Positive Sample:
SH-SY5Y, Mouse kidney
Cellular Localization:
Cytoplasm, Membrane, Peripheral Membrane Protein.
Calculated MW:
87kDa
Observed MW:
87kDa
Enables armadillo repeat domain binding activity; protein phosphatase 2A binding activity; and small GTPase binding activity. Involved in negative regulation of transcription by RNA polymerase II and positive regulation of transcription by RNA polymerase II. Located in Golgi apparatus; nucleoplasm; and plasma membrane. Part of FAR/SIN/STRIPAK complex.
Purification Method
Affinity purification
Gene ID
29966
RRID
AB_2767340
Buffer Information
Store at -20℃. Avoid freeze / thaw cycles. Buffer: PBS containing 50% glycerol, preserved with proclin300 or sodium azide, pH 7.3.
Western blot analysis of various lysates using STRN3 Rabbit pAb (CAB6756) at 1:1000 dilution. Secondary antibody: HRP-conjugated Goat anti-Rabbit IgG (H+L) (CABS014) at 1:10000 dilution. Lysates/proteins: 25μg per lane. Blocking buffer: 3% nonfat dry milk in TBST. Detection: ECL Enhanced Kit (AbGn00021). Exposure time: 10s.
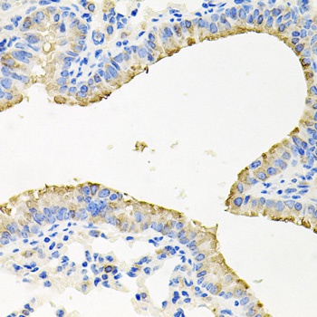
Immunohistochemistry analysis of paraffin-embedded Mouse lung using STRN3 Rabbit pAb (CAB6756) at dilution of 1:100 (40x lens). Microwave antigen retrieval performed with 0.01M PBS Buffer (pH 7.2) prior to IHC staining.
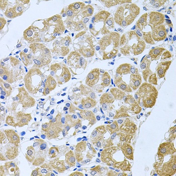
Immunohistochemistry analysis of paraffin-embedded Human stomach using STRN3 Rabbit pAb (CAB6756) at dilution of 1:100 (40x lens). Microwave antigen retrieval performed with 0.01M PBS Buffer (pH 7.2) prior to IHC staining.
Immunofluorescence analysis of HeLa cells using STRN3 Rabbit pAb (CAB6756). Secondary antibody: Cy3-conjugated Goat anti-Rabbit IgG (H+L) (CABS007) at 1:500 dilution. Blue: DAPI for nuclear staining.