The SUCLG2 Antibody (CAB8976) is a high-quality antibody developed for reliable detection and analysis of target proteins. This antibody, produced in rabbits, exhibits high reactivity with human samples and has been validated for use in Western blot applications. By binding specifically to SUCLG2, this antibody enables the detection and analysis of the protein in various cell types, making it ideal for research in biochemistry and metabolism.SUCLG2 plays a crucial role in cellular energy production, making it a key target for studies on metabolism, mitochondrial function, and energy metabolism-related diseases.
This antibody is validated for use in WB, IHC-P, IF/ICC, ELISA applications and has demonstrated reactivity against Human, Mouse, Rat samples.
Product Name:
SUCLG2 Antibody
SKU:
CAB8976
Size:
20μL, 100μL
Reactivity:
Human, Mouse, Rat
Conjugate:
Unconjugated
Immunogen:
Recombinant protein (or fragment).This information is considered to be commercially sensitive.
Recommended starting concentration is 1 μg/mL. Please optimize the concentration based on your specific assay requirements.
Synonyms:
G-SCS, GBETA, GTPSCS, G2
Positive Sample:
293T
Cellular Localization:
Mitochondrion.
Calculated MW:
47kDa
Observed MW:
47kDa
This gene encodes a GTP-specific beta subunit of succinyl-CoA synthetase. Succinyl-CoA synthetase catalyzes the reversible reaction involving the formation of succinyl-CoA and succinate. Alternate splicing results in multiple transcript variants. Pseudogenes of this gene are found on chromosomes 5 and 12.
Purification Method
Affinity purification
Gene ID
8801
RRID
AB_2772460
Buffer Information
Store at -20℃. Avoid freeze / thaw cycles. Buffer: PBS with 0.01% thimerosal,50% glycerol,pH7.3.
Western blot analysis of lysates from wild type(WT) and SUCLG2 knockout (KO) 293T(KO) cells, using [KO Validated] SUCLG2 Rabbit pAb (CAB8976) at 1:3000 dilution. Secondary antibody: HRP-conjugated Goat anti-Rabbit IgG (H+L) (CABS014) at 1:10000 dilution. Lysates/proteins: 25μg per lane. Blocking buffer: 3% nonfat dry milk in TBST. Detection: ECL Basic Kit (AbGn00020). Exposure time: 1s.
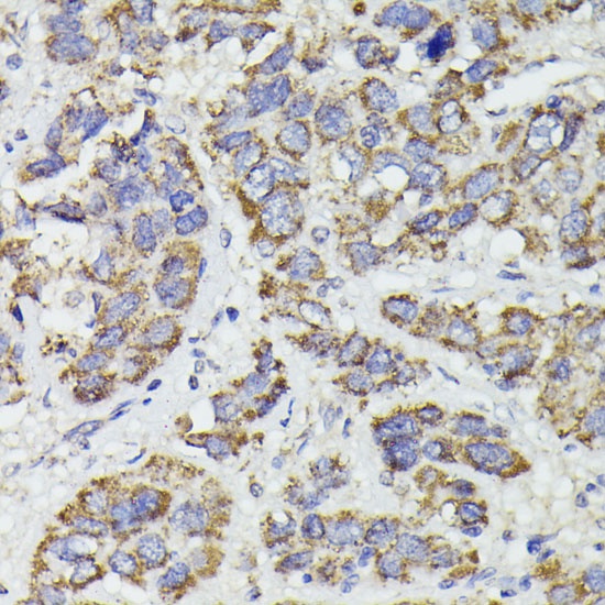
Immunohistochemistry analysis of paraffin-embedded Human liver cancer using [KO Validated] SUCLG2 Rabbit pAb (CAB8976) at dilution of 1:100 (40x lens). Microwave antigen retrieval performed with 0.01M PBS Buffer (pH 7.2) prior to IHC staining.
Immunofluorescence analysis of C6 cells using [KO Validated] SUCLG2 Rabbit pAb (CAB8976) at dilution of 1:100 (40x lens). Secondary antibody: Cy3-conjugated Goat anti-Rabbit IgG (H+L) (CABS007) at 1:500 dilution. Blue: DAPI for nuclear staining.
Immunofluorescence analysis of U-2 OS cells using [KO Validated] SUCLG2 Rabbit pAb (CAB8976) at dilution of 1:100 (40x lens). Secondary antibody: Cy3-conjugated Goat anti-Rabbit IgG (H+L) (CABS007) at 1:500 dilution. Blue: DAPI for nuclear staining.