The SUPT20H Antibody (CAB7374) is a high-quality antibody developed for reliable detection and analysis of target proteins. This antibody, produced in rabbits, is highly reactive with human samples and has been validated for use in Western blot applications. It targets the SUPT20H protein, allowing for accurate detection and analysis in different cell types, making it an excellent choice for studies in molecular biology and genetics.SUPT20H is a crucial component of the STAGA (SPT3-TAF(II)31-GCN5L-AC) transcription coactivator complex, which plays a role in regulating gene expression and chromatin remodeling.
This antibody is validated for use in WB, IHC-P, ELISA applications and has demonstrated reactivity against Human, Mouse, Rat samples.
Product Name:
SUPT20H Antibody
SKU:
CAB7374
Size:
20μL, 100μL
Reactivity:
Human, Mouse, Rat
Conjugate:
Unconjugated
Immunogen:
Recombinant protein (or fragment).This information is considered to be commercially sensitive.
SW480, HL-60, Mouse testis, Mouse brain, Mouse lung, Rat kidney, Rat brain
Cellular Localization:
Nucleus.
Calculated MW:
86kDa
Observed MW:
86kDa
Predicted to enable transcription coregulator activity. Predicted to be involved in regulation of transcription by RNA polymerase II. Predicted to act upstream of or within positive regulation of gluconeogenesis and positive regulation of transcription by RNA polymerase II. Part of SAGA-type complex.
Purification Method
Affinity purification
Gene ID
55578
RRID
AB_2767907
Buffer Information
Store at -20℃. Avoid freeze / thaw cycles. Buffer: PBS containing 50% glycerol, preserved with proclin300 or sodium azide, pH 7.3.
Western blot analysis of various lysates using SUPT20H Rabbit pAb (CAB7374) at 1:1000 dilution. Secondary antibody: HRP-conjugated Goat anti-Rabbit IgG (H+L) (CABS014) at 1:10000 dilution. Lysates/proteins: 25μg per lane. Blocking buffer: 3% nonfat dry milk in TBST. Detection: ECL Enhanced Kit (AbGn00021). Exposure time: 90s.
Immunohistochemistry analysis of paraffin-embedded Human colon using SUPT20H Rabbit pAb (CAB7374) at dilution of 1:100 (40x lens). Microwave antigen retrieval performed with 0.01M PBS Buffer (pH 7.2) prior to IHC staining.
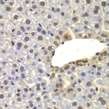
Immunohistochemistry analysis of paraffin-embedded Mouse liver using SUPT20H Rabbit pAb (CAB7374) at dilution of 1:100 (40x lens). Microwave antigen retrieval performed with 0.01M PBS Buffer (pH 7.2) prior to IHC staining.