The SUPV3L1 Antibody (CAB9951) is a high-quality antibody developed for reliable detection and analysis of target proteins. This antibody, raised in rabbits, exhibits high reactivity with human samples and has been validated for use in Western blot applications.The SUPV3L1 Polyclonal Antibody specifically binds to the SUPV3L1 protein, enabling the detection and analysis of this important mitochondrial enzyme in a variety of cell types. This makes it an excellent choice for studies focused on mitochondrial function, RNA biology, and aging-related research.
This antibody is validated for use in WB, IF/ICC, ELISA applications and has demonstrated reactivity against Human, Mouse, Rat samples.
Product Name:
SUPV3L1 Antibody
SKU:
CAB9951
Size:
20μL, 100μL
Reactivity:
Human, Mouse, Rat
Conjugate:
Unconjugated
Immunogen:
Recombinant protein (or fragment).This information is considered to be commercially sensitive.
Enables helicase activity; nucleic acid binding activity; and protein homodimerization activity. Involved in several processes, including mitochondrial RNA metabolic process; mitochondrion morphogenesis; and positive regulation of mitochondrial RNA catabolic process. Located in mitochondrial nucleoid and nucleus. Part of mitochondrial degradosome.
Purification Method
Affinity purification
Gene ID
6832
RRID
AB_2772475
Buffer Information
Store at -20℃. Avoid freeze / thaw cycles. Buffer: PBS containing 50% glycerol, preserved with proclin300 or sodium azide, pH 7.3.
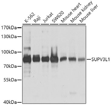
Western blot analysis of various lysates using SUPV3L1 Rabbit pAb (CAB9951) at 1:1000 dilution. Secondary antibody: HRP-conjugated Goat anti-Rabbit IgG (H+L) (CABS014) at 1:10000 dilution. Lysates/proteins: 25μg per lane. Blocking buffer: 3% nonfat dry milk in TBST. Detection: ECL Basic Kit (AbGn00020). Exposure time: 1s.
Immunofluorescence analysis of NIH-3T3 cells using SUPV3L1 Rabbit pAb (CAB9951) at dilution of 1:100 (40x lens). Secondary antibody: Cy3-conjugated Goat anti-Rabbit IgG (H+L) (CABS007) at 1:500 dilution. Blue: DAPI for nuclear staining.