The STX1A Antibody (CAB7931) is a high-quality antibody developed for reliable detection and analysis of target proteins. This antibody, produced in rabbits, demonstrates high specificity and sensitivity towards human samples, making it an excellent choice for Western blot applications. By binding to the Syntaxin-1A protein, this antibody enables precise detection and analysis in various cell types, facilitating research in neurobiology and neuroscience.Syntaxin-1A plays a crucial role in neurotransmitter release at the synapse, making it a key player in neuronal communication and synaptic transmission.
This antibody is validated for use in WB, IHC-P, IF/ICC, ELISA applications and has demonstrated reactivity against Mouse, Rat samples.
Product Name:
STX1A Antibody
SKU:
CAB7931
Size:
20μL, 100μL
Reactivity:
Mouse, Rat
Conjugate:
Unconjugated
Immunogen:
Synthetic peptide. This information is considered to be commercially sensitive.
Recommended starting concentration is 1 μg/mL. Please optimize the concentration based on your specific assay requirements.
Synonyms:
STX1, HPC-1, P35-1, SYN1A, STX1A
Positive Sample:
Mouse brain, Rat brain
Cellular Localization:
Cell Junction, Cell Membrane, Cytoplasmic Vesicle, Secreted, Single-Pass Type Iv Membrane Protein, Secretory Vesicle, Synapse, Synaptic Vesicle Membrane, Synaptosome.
Calculated MW:
33kDa
Observed MW:
38kDa
This gene encodes a member of the syntaxin superfamily. Syntaxins are nervous system-specific proteins implicated in the docking of synaptic vesicles with the presynaptic plasma membrane. Syntaxins possess a single C-terminal transmembrane domain, a SNARE [Soluble NSF (N-ethylmaleimide-sensitive fusion protein)-Attachment protein REceptor] domain (known as H3), and an N-terminal regulatory domain (Habc). Syntaxins bind synaptotagmin in a calcium-dependent fashion and interact with voltage dependent calcium and potassium channels via the C-terminal H3 domain. This gene product is a key molecule in ion channel regulation and synaptic exocytosis. Alternatively spliced transcript variants encoding different isoforms have been found for this gene.
Purification Method
Affinity purification
Gene ID
6804
RRID
AB_2772450
Buffer Information
Store at -20℃. Avoid freeze / thaw cycles. Buffer: PBS containing 50% glycerol, preserved with proclin300 or sodium azide, pH 7.3.
Western blot analysis of various lysates using STX1A Rabbit pAb (CAB7931) at 1:500 dilution. Secondary antibody: HRP-conjugated Goat anti-Rabbit IgG (H+L) (CABS014) at 1:10000 dilution. Lysates/proteins: 25μg per lane. Blocking buffer: 3% nonfat dry milk in TBST. Detection: ECL Basic Kit (AbGn00020). Exposure time: 90s.
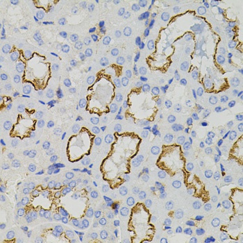
Immunohistochemistry analysis of paraffin-embedded Mouse kidney using STX1A Rabbit pAb (CAB7931) (40x lens). Microwave antigen retrieval performed with 0.01M PBS Buffer (pH 7.2) prior to IHC staining.
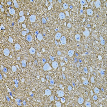
Immunohistochemistry analysis of paraffin-embedded Mouse brain using STX1A Rabbit pAb (CAB7931) (40x lens). Microwave antigen retrieval performed with 0.01M PBS Buffer (pH 7.2) prior to IHC staining.