The STX8 Antibody (CAB10050) is a high-quality antibody developed for reliable detection and analysis of target proteins. The gene is a member of the syntaxin family. The encoded protein is involved in protein trafficking from early to late endosomes via vesicle fusion and exocytosis. A related pseudogene has been identified on chromosome 12. Alternative splicing results in multiple transcript variants. RRID AB_2757571 Gene ID 9482 Swiss Prot Synonym CARB; STX8
This antibody is validated for use in WB, ELISA applications and has demonstrated reactivity against Human, Mouse, Rat samples.
Product Name:
STX8 Antibody
SKU:
CAB10050
Size:
100μL, 20μL
Reactivity:
Human, Mouse, Rat
Clone Number:
-
Conjugate:
Unconjugated
Immunogen:
Recombinant protein (or fragment).This information is considered to be commercially sensitive.
Tested Applications:
WBELISA
Recommended Dilution:
WB
1:500 - 1:2000
ELISA
Recommended starting concentration is 1 μg/mL. Please optimize the concentration based on your specific assay requirements.
The gene is a member of the syntaxin family. The encoded protein is involved in protein trafficking from early to late endosomes via vesicle fusion and exocytosis. A related pseudogene has been identified on chromosome 12. Alternative splicing results in multiple transcript variants. RRID AB_2757571 Gene ID 9482 Swiss Prot Synonym CARB; STX8
Purification Method:
Affinity purification
Gene ID:
9482
RRID:
AB_2757571
Buffer Information:
Store at -20℃. Avoid freeze / thaw cycles. Buffer: PBS containing 50% glycerol, preserved with proclin300 or sodium azide, pH 7.3.
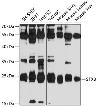
Western blot analysis of various lysates using STX8 Rabbit pAb (CAB10050) at 1:1000 dilution. Secondary antibody: HRP-conjugated Goat anti-Rabbit IgG (H+L) (AS014) at 1:10000 dilution. Lysates/proteins: 25μg per lane. Blocking buffer: 3% nonfat dry milk in TBST. Detection: ECL Basic Kit (AbGn00020). Exposure time: 90s.