The TARBP2 Antibody (CAB7533) is a high-quality antibody developed for reliable detection and analysis of target proteins. This antibody is raised in rabbits and has high reactivity with human samples, making it suitable for use in Western blot applications. By binding to the TARBP2 protein, this antibody allows for its detection and analysis in a variety of cell types, making it ideal for studies in molecular biology and gene expression.TARBP2, also known as trans-activation response RNA-binding protein 2, plays a crucial role in the processing of microRNAs and small interfering RNAs, which are important regulators of gene expression.
This antibody is validated for use in WB, IHC-P, IF/ICC, ELISA applications and has demonstrated reactivity against Human, Mouse samples.
Product Name:
TARBP2 Antibody
SKU:
CAB7533
Size:
20μL, 100μL
Reactivity:
Human, Mouse
Conjugate:
Unconjugated
Immunogen:
Recombinant protein (or fragment).This information is considered to be commercially sensitive.
Recommended starting concentration is 1 μg/mL. Please optimize the concentration based on your specific assay requirements.
Synonyms:
LOQS, TRBP, TRBP1, TRBP2, TARBP2
Positive Sample:
HeLa, HepG2, Mouse testis
Cellular Localization:
Cytoplasm, Nucleus, Perinuclear Region.
Calculated MW:
39kDa
Observed MW:
46kDa
HIV-1, the causative agent of acquired immunodeficiency syndrome (AIDS), contains an RNA genome that produces a chromosomally integrated DNA during the replicative cycle. Activation of HIV-1 gene expression by the transactivator Tat is dependent on an RNA regulatory element (TAR) located downstream of the transcription initiation site. The protein encoded by this gene binds between the bulge and the loop of the HIV-1 TAR RNA regulatory element and activates HIV-1 gene expression in synergy with the viral Tat protein. Alternative splicing results in multiple transcript variants encoding different isoforms. This gene also has a pseudogene.
Purification Method
Affinity purification
Gene ID
6895
RRID
AB_2768060
Buffer Information
Store at -20℃. Avoid freeze / thaw cycles. Buffer: PBS containing 50% glycerol, preserved with proclin300 or sodium azide, pH 7.3.
Western blot analysis of various lysates using TARBP2 Rabbit pAb (CAB7533) at 1:1000 dilution. Secondary antibody: HRP-conjugated Goat anti-Rabbit IgG (H+L) (CABS014) at 1:10000 dilution. Lysates/proteins: 25μg per lane. Blocking buffer: 3% nonfat dry milk in TBST. Detection: ECL Basic Kit (AbGn00020). Exposure time: 90s.
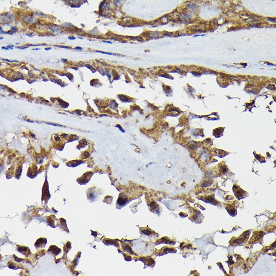
Immunohistochemistry analysis of paraffin-embedded Human thyroid cancer using TARBP2 Rabbit pAb (CAB7533) at dilution of 1:200 (40x lens). High pressure antigen retrieval performed with 0.01M Citrate buffer (pH 6.0) prior to IHC staining.
Immunofluorescence analysis of A549 cells using TARBP2 Rabbit pAb (CAB7533).Secondary antibody: Cy3-conjugated Goat anti-Rabbit IgG (H+L) (CABS007) at 1:500 dilution.