The TDP-43/TARDB Antibody (CAB1183) is a high-quality antibody developed for reliable detection and analysis of target proteins. This antibody, raised in rabbits, is highly reactive with human samples and is validated for use in various applications such as Western blotting and immunofluorescence.TDP-43 is a key player in RNA metabolism and has been linked to neurodegenerative diseases such as amyotrophic lateral sclerosis (ALS) and frontotemporal lobar degeneration (FTLD).
This antibody is validated for use in WB, IHC-P, IP, RIP, ELISA applications and has demonstrated reactivity against Human, Mouse, Rat samples.
Product Name:
TDP-43/TARDB Antibody
SKU:
CAB1183
Size:
20μL, 100μL
Reactivity:
Human, Mouse, Rat
Conjugate:
Unconjugated
Immunogen:
Recombinant protein (or fragment).This information is considered to be commercially sensitive.
HIV-1, the causative agent of acquired immunodeficiency syndrome (AIDS), contains an RNA genome that produces a chromosomally integrated DNA during the replicative cycle. Activation of HIV-1 gene expression by the transactivator Tat is dependent on an RNA regulatory element (TAR) located downstream of the transcription initiation site. The protein encoded by this gene is a transcriptional repressor that binds to chromosomally integrated TAR DNA and represses HIV-1 transcription. In addition, this protein regulates alternate splicing of the CFTR gene. A similar pseudogene is present on chromosome 20.
Purification Method
Affinity purification
Gene ID
23435
RRID
AB_2758796
Buffer Information
Store at -20℃. Avoid freeze / thaw cycles. Buffer: PBS containing 50% glycerol, preserved with proclin300 or sodium azide, pH 7.3.
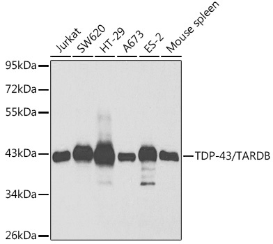
Western blot analysis of various lysates using TDP-43/TARDB Rabbit pAb (CAB1183) at 1:1000 dilution. Secondary antibody: HRP-conjugated Goat anti-Rabbit IgG (H+L) (CABS014) at 1:10000 dilution. Lysates/proteins: 25μg per lane. Blocking buffer: 3% nonfat dry milk in TBST.
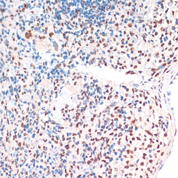
Immunohistochemistry analysis of paraffin-embedded Rat spleen using TDP-43/TARDB Rabbit pAb (CAB1183) at dilution of 1:200 (40x lens). Microwave antigen retrieval performed with 0.01M PBS Buffer (pH 7.2) prior to IHC staining.
Immunohistochemistry analysis of paraffin-embedded Mouse brain using TDP-43/TARDB Rabbit pAb (CAB1183) at dilution of 1:200 (40x lens). Microwave antigen retrieval performed with 0.01M PBS Buffer (pH 7.2) prior to IHC staining.
Immunoprecipitation analysis of 200 μg extracts of SW620 cells using 3 μg TDP-43/TARDB antibody (CAB1183). Western blot was performed from the immunoprecipitate using TDP-43/TARDB antibody (CAB1183) at a dilution of 1:500.