The TBCB Antibody (CAB13248) is a high-quality antibody developed for reliable detection and analysis of target proteins. TBCB, a protein involved in microtubule dynamics and cell division, plays a crucial role in maintaining cell structure and function. This antibody, generated in rabbits, is highly specific to human samples and has been validated for use in Western blot applications.By binding to the TBCB protein, this antibody allows for the detection and analysis of TBCB in a variety of cell types, making it an essential tool for studies in cell biology and cancer research.
This antibody is validated for use in WB, IHC-P, ELISA applications and has demonstrated reactivity against Human, Mouse, Rat samples.
Product Name:
TBCB Antibody
SKU:
CAB13248
Size:
20μL, 100μL
Reactivity:
Human, Mouse, Rat
Conjugate:
Unconjugated
Immunogen:
Recombinant protein (or fragment).This information is considered to be commercially sensitive.
Predicted to be involved in cell differentiation and nervous system development. Located in cytosol.
Purification Method
Affinity purification
Gene ID
1155
RRID
AB_2760100
Buffer Information
Store at -20℃. Avoid freeze / thaw cycles. Buffer: PBS with 0.01% thimerosal,50% glycerol,pH7.3.
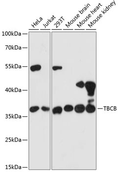
Western blot analysis of various lysates using TBCB Rabbit pAb (CAB13248) at 1:3000 dilution. Secondary antibody: HRP-conjugated Goat anti-Rabbit IgG (H+L) (CABS014) at 1:10000 dilution. Lysates/proteins: 25μg per lane. Blocking buffer: 3% nonfat dry milk in TBST. Detection: ECL Basic Kit (AbGn00020). Exposure time: 30s.
Immunohistochemistry analysis of paraffin-embedded Rat brain using TBCB Rabbit pAb (CAB13248) at dilution of 1:100 (40x lens). Microwave antigen retrieval performed with 0.01M PBS Buffer (pH 7.2) prior to IHC staining.
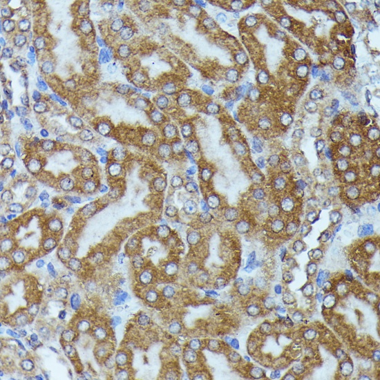
Immunohistochemistry analysis of paraffin-embedded Mouse kidney using TBCB Rabbit pAb (CAB13248) at dilution of 1:100 (40x lens). Microwave antigen retrieval performed with 0.01M PBS Buffer (pH 7.2) prior to IHC staining.