The TES Antibody (CAB7094) is a high-quality antibody developed for reliable detection and analysis of target proteins. This antibody, generated in rabbits, exhibits high specificity and sensitivity in detecting TES in human samples, making it suitable for use in Western blot applications.The TES protein, also known as Testin, is essential for maintaining cellular structure and function, making it a key target for studies in cell biology and cancer research. Its role in cell adhesion and migration suggests potential implications in tumor metastasis and invasion, highlighting the importance of investigating TES function in various cell types.
This antibody is validated for use in WB, IHC-P, ELISA applications and has demonstrated reactivity against Human, Rat samples.
Product Name:
TES Antibody
SKU:
CAB7094
Size:
20μL, 100μL
Reactivity:
Human, Rat
Conjugate:
Unconjugated
Immunogen:
Recombinant protein (or fragment).This information is considered to be commercially sensitive.
Recommended starting concentration is 1 μg/mL. Please optimize the concentration based on your specific assay requirements.
Synonyms:
TESS, TESS-2, TES
Positive Sample:
HeLa, 22Rv1, Rat ovary
Cellular Localization:
Cell Junction, Cytoplasm, Focal Adhesion.
Calculated MW:
48kDa
Observed MW:
47kDa
Cancer-associated chromosomal changes often involve regions containing fragile sites. This gene maps to a commom fragile site on chromosome 7q31.2 designated FRA7G. This gene is similar to mouse Testin, a testosterone-responsive gene encoding a Sertoli cell secretory protein containing three LIM domains. LIM domains are double zinc-finger motifs that mediate protein-protein interactions between transcription factors, cytoskeletal proteins and signaling proteins. This protein is a negative regulator of cell growth and may act as a tumor suppressor. This scaffold protein may also play a role in cell adhesion, cell spreading and in the reorganization of the actin cytoskeleton. Multiple protein isoforms are encoded by transcript variants of this gene.
Purification Method
Affinity purification
Gene ID
26136
RRID
AB_2767649
Buffer Information
Store at -20℃. Avoid freeze / thaw cycles. Buffer: PBS with 0.01% thimerosal,50% glycerol,pH7.3.
Western blot analysis of various lysates using TES Rabbit pAb (CAB7094) at 1:3000 dilution. Secondary antibody: HRP-conjugated Goat anti-Rabbit IgG (H+L) (CABS014) at 1:10000 dilution. Lysates/proteins: 25μg per lane. Blocking buffer: 3% nonfat dry milk in TBST. Detection: ECL Basic Kit (AbGn00020). Exposure time: 30s.
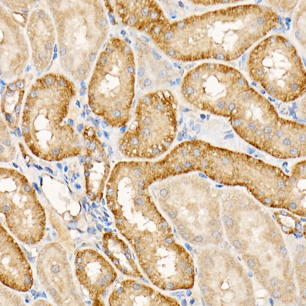
Immunohistochemistry analysis of paraffin-embedded Rat kidney using TES Rabbit pAb (CAB7094) at dilution of 1:200 (40x lens). High pressure antigen retrieval performed with 0.01M Citrate buffer (pH 6.0) prior to IHC staining.