The TET1 Antibody (CAB1506) is a high-quality antibody developed for reliable detection and analysis of target proteins. This antibody, raised in rabbits, is highly specific to Tet1 and has been validated for use in various applications, including Western blotting. By targeting the Tet1 protein, this antibody allows for the detection and analysis of Tet1 expression in different cell types, making it ideal for studies in epigenetics and cancer research.Tet1 is known for its role in DNA demethylation, which is crucial for regulating gene expression and cellular differentiation.
This antibody is validated for use in WB, IHC-P, IF/ICC, ELISA applications and has demonstrated reactivity against Human, Mouse, Rat samples.
Product Name:
TET1 Antibody
SKU:
CAB1506
Size:
20μL, 100μL
Reactivity:
Human, Mouse, Rat
Conjugate:
Unconjugated
Immunogen:
Synthetic peptide. This information is considered to be commercially sensitive.
Recommended starting concentration is 1 μg/mL. Please optimize the concentration based on your specific assay requirements.
Synonyms:
LCX, CXXC6, bA119F7.1, TET1
Positive Sample:
Neuro-2a, Rat heart
Cellular Localization:
Nucleus.
Calculated MW:
235kDa
Observed MW:
250kDa
DNA methylation is an epigenetic mechanism that is important for controlling gene expression. The protein encoded by this gene is a demethylase that belongs to the TET (ten-eleven translocation) family. Members of the TET protein family play a role in the DNA methylation process and gene activation.
Purification Method
Affinity purification
Gene ID
80312
RRID
AB_2761941
Buffer Information
Store at -20℃. Avoid freeze / thaw cycles. Buffer: PBS containing 50% glycerol, preserved with proclin300 or sodium azide, pH 7.3.
Western blot analysis of various lysates using TET1 Rabbit pAb (CAB1506) at 1:1000 dilution. Secondary antibody: HRP-conjugated Goat anti-Rabbit IgG (H+L) (CABS014) at 1:10000 dilution. Lysates/proteins: 25μg per lane. Blocking buffer: 3% nonfat dry milk in TBST. Detection: ECL Enhanced Kit (AbGn00021). Exposure time: 180s.
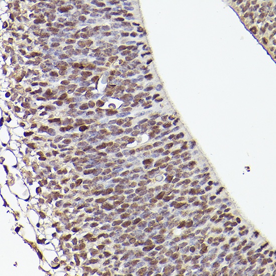
Immunohistochemistry analysis of paraffin-embedded Mouse fetal Brain using TET1 Rabbit pAb (CAB1506) at dilution of 1:50 (40x lens). High pressure antigen retrieval performed with 0.01M Citrate buffer (pH 6.0) prior to IHC staining.