TGF beta Receptor I (TGFBR1) Monoclonal Antibody (CAB22151)
The TGF beta Receptor I (TGFBR1) Monoclonal Antibody (CAB22151) is a high-quality antibody developed for reliable detection and analysis of target proteins. TGFBR1 is a cell surface receptor that plays a key role in regulating cell growth, differentiation, and immune response. This monoclonal antibody, produced using advanced technology, is highly specific for human TGFBR1 and is suitable for use in Western blot and immunofluorescence applications.By targeting TGFBR1, researchers can gain insights into the mechanisms underlying various diseases, including cancer, fibrosis, and immune disorders.
This antibody is validated for use in WB, ELISA applications and has demonstrated reactivity against Human samples.
Product Name:
TGF beta Receptor I (TGFBR1) Monoclonal Antibody
SKU:
CAB22151
Size:
20μL, 100μL
Reactivity:
Human
Clone Number:
ARC55592
Immunogen:
Synthetic peptide. This information is considered to be commercially sensitive.
Sequence:
CCNQ DHCN KIEL PTTV KSSP GLGP VELA AVIA GPVC FVCI SLML MVYI CHNR TVIH HRVP NEED PSLD RPFI SEGT TLKD LIYD MTTS GSGS GLPL LVQR T
Tested Applications:
WBELISA
Recommended Dilution:
WB
1:2000 - 1:8000
ELISA
Recommended starting concentration is 1 μg/mL. Please optimize the concentration based on your specific assay requirements.
Cell Junction, Cell Membrane, Single-Pass Type I Membrane Protein, Tight Junction.
Calculated MW:
56kDa
Observed MW:
56kDa
The protein encoded by this gene forms a heteromeric complex with type II TGF-beta receptors when bound to TGF-beta, transducing the TGF-beta signal from the cell surface to the cytoplasm. The encoded protein is a serine/threonine protein kinase. Mutations in this gene have been associated with Loeys-Dietz aortic aneurysm syndrome (LDAS). Multiple transcript variants encoding different isoforms have been found for this gene.
Purification Method
Affinity purification
Gene ID
7046
Buffer Information
Store at -20℃. Avoid freeze / thaw cycles. Buffer: PBS with 0.09% Sodium azide,0.05% BSA,50% glycerol,pH7.3.
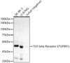
Western blot analysis of lysates from SK-BR-3 cells using TGF beta Receptor I (TGFBR1) Rabbit mAb (CAB22151) at 1:5000 dilution incubated at room temperature for 1.5 hours. Secondary antibody: HRP-conjugated Goat anti-Rabbit IgG (H+L) (CABS014) at 1:10000 dilution. Lysates/proteins: 25 μg per lane. Blocking buffer: 3% nonfat dry milk in TBST. Detection: ECL Basic Kit (AbGn00020). Exposure time: 90 s.