The TIMM17A Antibody (CAB6449) is a high-quality antibody developed for reliable detection and analysis of target proteins. This antibody, produced in rabbits, is highly specific to TIMM17A and has been validated for use in various applications such as Western blot and immunofluorescence.TIMM17A is an essential component of the mitochondrial inner membrane translocase complex, which plays a crucial role in the import of nuclear-encoded proteins into the mitochondria. Dysfunction of TIMM17A has been associated with various mitochondrial disorders and diseases, making it a promising target for research into mitochondrial function and related pathologies.
This antibody is validated for use in WB, IF/ICC, ELISA applications and has demonstrated reactivity against Human, Mouse samples.
Product Name:
TIMM17A Antibody
SKU:
CAB6449
Size:
20μL, 100μL
Reactivity:
Human, Mouse
Conjugate:
Unconjugated
Immunogen:
Recombinant protein (or fragment).This information is considered to be commercially sensitive.
Predicted to contribute to protein transmembrane transporter activity. Predicted to be involved in protein import into mitochondrial matrix. Located in mitochondrial inner membrane and nucleoplasm. Is integral component of mitochondrial inner membrane. Part of TIM23 mitochondrial import inner membrane translocase complex.
Purification Method
Affinity purification
Gene ID
10440
RRID
AB_2767051
Buffer Information
Store at -20℃. Avoid freeze / thaw cycles. Buffer: PBS containing 50% glycerol, preserved with proclin300 or sodium azide, pH 7.3.
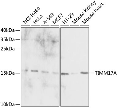
Western blot analysis of various lysates using TIMM17A Rabbit pAb (CAB6449) at 1:1000 dilution. Secondary antibody: HRP-conjugated Goat anti-Rabbit IgG (H+L) (CABS014) at 1:10000 dilution. Lysates/proteins: 25μg per lane. Blocking buffer: 3% nonfat dry milk in TBST. Detection: ECL Basic Kit (AbGn00020). Exposure time: 30s.
Western blot analysis of various lysates using TIMM17A Rabbit pAb (CAB6449) at 1:1000 dilution. Secondary antibody: HRP-conjugated Goat anti-Rabbit IgG (H+L) (CABS014) at 1:10000 dilution. Lysates/proteins: 25μg per lane. Blocking buffer: 3% nonfat dry milk in TBST. Detection: ECL Basic Kit (AbGn00020). Exposure time: 90s.