The TIMM23 Antibody (CAB8688) is a high-quality antibody developed for reliable detection and analysis of target proteins. This antibody, produced in rabbits, exhibits high reactivity with human samples and is suitable for use in Western blot applications. By specifically binding to TIMM23, this antibody enables accurate detection and analysis of the protein in a variety of cell types.TIMM23 is essential for the import of nuclear-encoded proteins into the mitochondria, playing a crucial role in maintaining mitochondrial function and cellular metabolism. Dysfunction in TIMM23 has been linked to various diseases, including metabolic disorders and neurodegenerative conditions.
This antibody is validated for use in WB, IHC-P, IF/ICC, ELISA applications and has demonstrated reactivity against Human, Mouse, Rat samples.
Product Name:
TIMM23 Antibody
SKU:
CAB8688
Size:
20μL, 100μL
Reactivity:
Human, Mouse, Rat
Conjugate:
Unconjugated
Immunogen:
Recombinant protein (or fragment).This information is considered to be commercially sensitive.
The protein encoded by this gene is part of a complex located in the inner mitochondrial membrane that mediates the transport of transit peptide-containing proteins across the membrane. Multiple transcript variants, one protein-coding and others not protein-coding, have been found for this gene.
Purification Method
Affinity purification
Gene ID
100287932
RRID
AB_2772611
Buffer Information
Store at -20℃. Avoid freeze / thaw cycles. Buffer: PBS with 0.09% Sodium azide,50% glycerol,pH7.3.
Western blot analysis of various lysates using TIMM23 Rabbit pAb (CAB8688) at 1:1000 dilution. Secondary antibody: HRP-conjugated Goat anti-Rabbit IgG (H+L) (CABS014) at 1:10000 dilution. Lysates/proteins: 25μg per lane. Blocking buffer: 3% nonfat dry milk in TBST. Detection: ECL Basic Kit (AbGn00020). Exposure time: 1s.
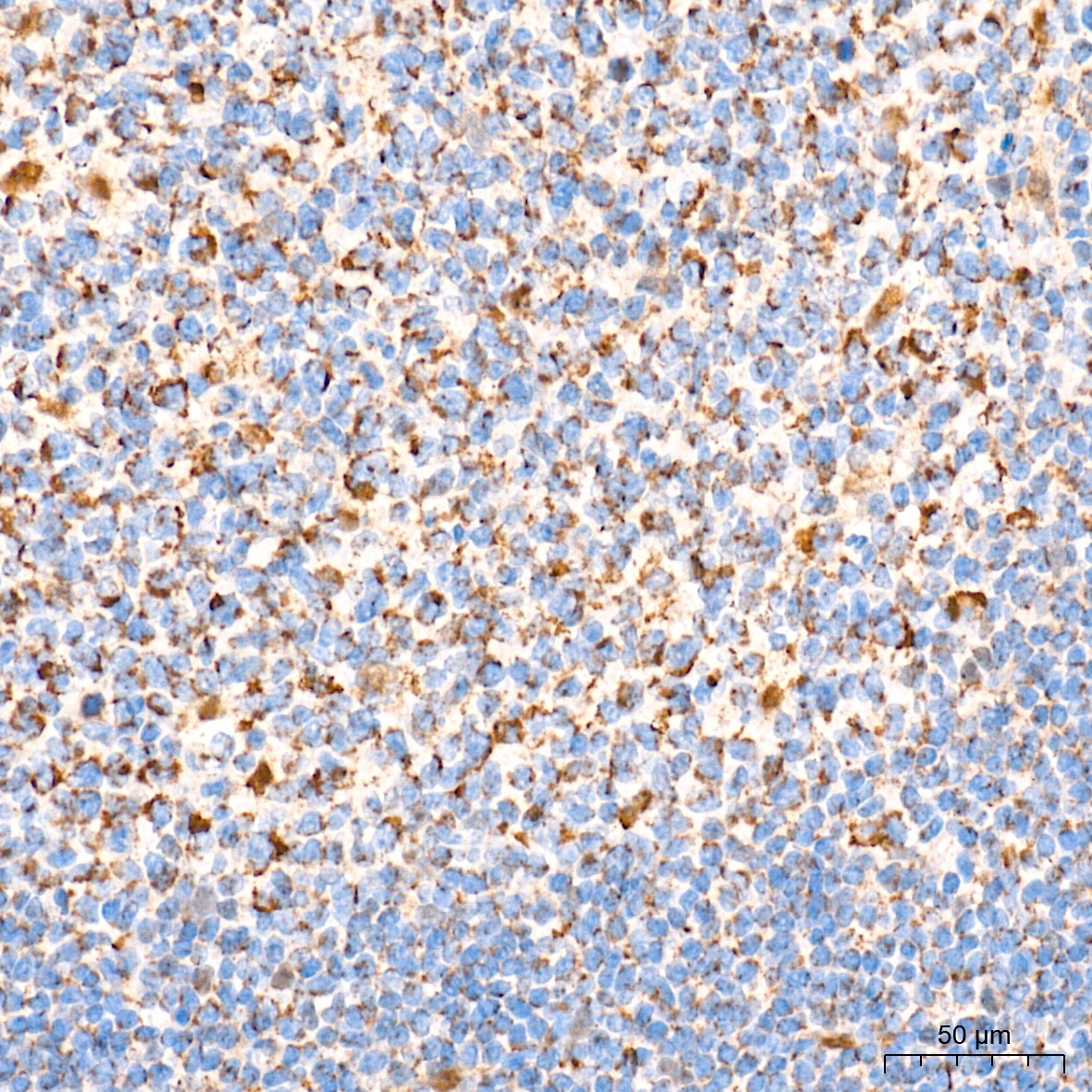
Immunohistochemistry analysis of paraffin-embedded Human tonsil tissue using TIMM23 Rabbit pAb (CAB8688) at a dilution of 1:1000 (40x lens). High pressure antigen retrieval performed with 0.01M Tris-EDTA Buffer (pH 9.0) prior to IHC staining.
Immunofluorescence analysis of A549 cells using TIMM23 Rabbit pAb (CAB8688) at dilution of 1:100 (40x lens). Secondary antibody: Cy3-conjugated Goat anti-Rabbit IgG (H+L) (CABS007) at 1:500 dilution. Blue: DAPI for nuclear staining.
Immunofluorescence analysis of NIH/3T3 cells using TIMM23 Rabbit pAb (CAB8688) at dilution of 1:100 (40x lens). Secondary antibody: Cy3-conjugated Goat anti-Rabbit IgG (H+L) (CABS007) at 1:500 dilution. Blue: DAPI for nuclear staining.