null
100% Quality Guarantee
PhD-Level Technical Support
Key Features

TIMM8B Rabbit Polyclonal Antibody (CAB15814)

SKU CAB15814
Product Type Antibody
Antibody Type Polyclonal Antibody
Reactivity Human, Mouse, Rat
Host Species Rabbit
Synonyms DDP2, TIM8B, TIMM8B
Research Use Cell Biology
€96 - €370
Global Shipping: 80+ Countries
White Glove Service: Available upon request
Batch Consistency: Contact Sales
Distributors: 60+ Countries

Description

system_update_altDatasheetsystem_update_altMSDS

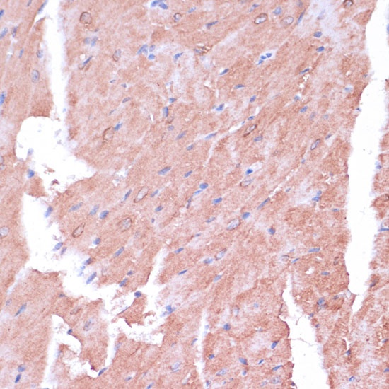
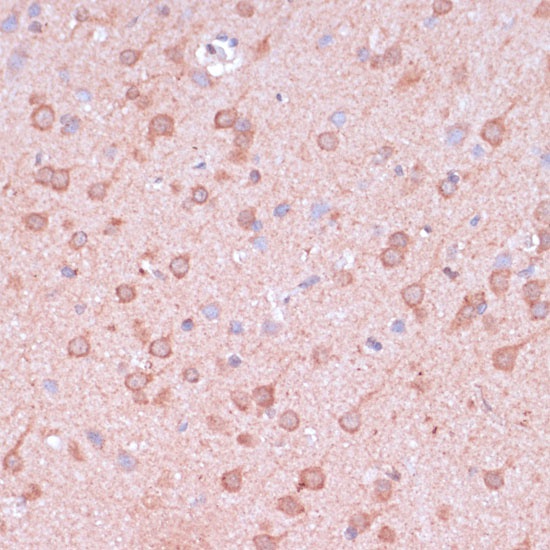
TIMM8B Antibody (CAB15814)

The TIMM8B Antibody (CAB15814) is a high-quality antibody developed for reliable detection and analysis of target proteins. The antibody, raised in rabbits, is optimized for use in various experimental applications, including Western blotting and immunofluorescence microscopy. It binds specifically to TIMM8B, facilitating the detection and analysis of this important mitochondrial protein in different cell types.TIMM8B is a crucial component of the mitochondrial protein translocase complex, playing a key role in the import of nuclear-encoded proteins into the mitochondria. Dysregulation of TIMM8B has been linked to various mitochondrial disorders and neurodegenerative diseases.

This antibody is validated for use in WB, IHC-P, IF/ICC, ELISA applications and has demonstrated reactivity against Human, Mouse, Rat samples.

0 Reviews

0
Based on 0 reviews

No reviews yet. Be the first to share your experience!

View AllClose